Исправление прикуса
Исправление прикуса – это эффективная стоматологическая процедура, которая позволяет достичь правильного положения зубов и улучшить функциональность ротовой полости. Неправильное расположение зубных единиц оказывает свое влияние не только на эстетику улыбки, но и вызывает ряд нарушений со стороны различных структур и систем организма, например, желудочно-кишечного тракта, органов дыхания. Для исправления прикуса применяют новейшие безопасные технологии, подбираемые врачом в индивидуальном порядке в зависимости от характера патологии.

Виды исправления прикуса





Показания к исправлению прикуса
Изменение положения зубов в ортодонтии имеет медицинские и эстетические показания. При появлении различных клинических симптомов стоит записаться на прием к врачу-ортодонту. Доктор определит необходимость ортодонтического лечения, а также подберет наиболее подходящий метод лечения.
Исправление прикуса у взрослых необходимо в следующих случаях:
- неправильное расположение зубных единиц;
- видимые тремы и диастемы (значительные промежутки между зубами);
- скученность зубных единиц;
- патологическая стираемость эмали зубов с наличием характерных видимых очагов;
- убыль (рецессия) десны;
- наличие трещин зубов, идущих в вертикальном положении;
- частые воспаления слизистой оболочки из-за ее постоянного натирания;
- присутствие мигрени в утренние часы;
- врожденные аномалии костей и зубов;
- слышимые щелчки при закрывании или открывании полости рта;
- постоянные патологические шумы в ушах;
- быстрое накопление налета на зубной эмали;
- видимое изменение мимики, овала лица;
- предстоящее вживление импланта или установка ортопедической конструкции;
- диагностированный у человека патологический прикус (глубокий, перекрестный и другие);
- кривые зубы, нарушающие эстетику улыбки и приводящие к развитию комплексов;
- проблемы со стороны дыхательной и пищеварительной систем, развившиеся на фоне неправильного положения зубных единиц;
- частые травмы языка зубами;
- различные речевые нарушения;
- трудности во время ежедневной чистки зубов;
- выдвижение вперед нижней челюсти;
- невозможность полностью сомкнуть челюсти;
- болезненные ощущения и дискомфорт в области височно-нижнечелюстного сустава.
Противопоказания
До исправления прикуса пациент проходит тщательный осмотр и диагностику для выявления возможных противопоказаний. При выявлении тех или иных ограничений решение о возможности проведения процедуры принимает врач в каждом конкретном случае.
Ситуации, препятствующие исправлению прикуса в Москве:
- нехватка большого количества зубов в ряду;
- тяжелые иммунодефициты;
- выраженная атрофия костной ткани, приводящая к расшатыванию зубных единиц;
- онкологические процессы;
- сильные дефекты челюстно-лицевой области;
- тяжелые эндокринные заболевания;
- выявленный туберкулез;
- психоневрологические болезни;
- присутствие в ротовой полости ортопедической конструкции (коронка, вживленный имплантат, мостовидный протез и другие);
- обнаруженные стоматологические заболевания, такие как пульпит, выраженный зубной налет, стоматит, кариес;
- аллергическая реакция на металл (при использовании аппаратов, содержащих металлические компоненты);
- тяжелая стадия болезней пародонта;
- плохой уход за полостью рта;
- острые инфекционно-воспалительные процессы;
- хронические болезни в стадии обострения;
- кисты и опухоли в проекции корней зубов.
Взрослым пациентам также рекомендуется исправлять неправильный прикус, ведь использование ортодонтической системы не имеет возрастных ограничений. Важно понимать, что аномальный прикус не только меняет внешний вид лица, но и провоцирует возникновение кариозного процесса, дефектов речи, различных патологии в работе височно-нижнечелюстного сустава и деятельности внутренних органов. Исправление прикуса уменьшает риски подобных проблем и помогает достичь привлекательной улыбки.

Плюсы и минусы исправления прикуса
Исправление прикуса имеет достоинства и недостатки.
Преимущества
- улучшение внешнего облика;
- получение высокой эстетики улыбки, естественного овала лица;
- расслабление мышечных волокон, что приводит к купированию височных и головных болей;
- исчезновение проблем с желудочно-кишечным трактом;
- отсутствие болезненных ощущений и дискомфорта во время лечения;
- устранение нарушений речи;
- снижение риска развития кариеса и воспалительных процессов ротовой полости;
- уменьшение гиперестезии, вероятности появления сколов зубной эмали и повышенной стираемости зубов;
- улучшение гигиены полости рта;
- повышение самооценки, устранение комплексов и неуверенности в себе;
- эффективность и гарантированный результат;
- возможность установки аппаратов в любом возрасте;
- биологическая совместимость.
Недостатки
- долгое лечение;
- необходимость строгого соблюдения правил врача и тщательной гигиены ротовой полости;
- вероятность предварительного терапевтического лечения;
- возможность проведения хирургического этапа;
- присутствие периода привыкания к изделию;
- вероятность развития осложнений;
- заметность во время разговора и при улыбке (для некоторых ортодонтических аппаратов);
- высокая стоимость.
Типы неправильного прикуса
Существуют различные виды прикуса, которые основаны на функциональных и анатомических характеристиках.
Дистальный
Самая частая проблема. При таком виде прикуса нижняя челюсть развита недостаточно, в то время как верхняя челюсть гиперразвита, что вызывает выраженное выдвижение вперед зубов верхнего ряда. В результате дистального прикуса нарушается соприкосновение нижних резцов с верхними с появлением скошенного подбородка. При отсутствии коррекции зубных единиц возникают трудности во время проглатывания пищи, развиваются стоматологические заболевания, появляются боли в ВНЧС.
Мезиальный
При данном типе прикуса нижняя челюсть сильно выдвигается вперед, а нижние резцы значительно перекрывают верхние. В результате мезиального прикуса происходит западение верхней губы, а подбородок приобретает значительную массивность. На фоне такого прикуса нарушается нормальное пережевывание пищи, изменяется и искажается внешний вид лица, быстро развиваются болезни пародонта и ЖКТ, появляются патологические звуки во время открывания рта (хруст, щелчки).
Глубокий
Такой тип прикуса характеризуется значительным перекрыванием верхними резцами нижних в момент полного смыкания челюстей. Глубокий прикус вызывает искажение и асимметрию лица, приводит к быстрой стираемости поверхности зубов верхнего ряда с последующим их разрушением, способствует повреждению слизистой оболочки ротовой полости, нарушает нормальную функцию жевания и дикцию, снижает тонус мышц височно-нижнечелюстного сустава, приводит к постоянным головным болям.
Открытый
Подобная патология характеризуется появлением значительных щелей между фронтальными или боковыми зубными единицами при их полном смыкании. На фоне открытого прикуса происходит удлинение нижней части лица, губы полностью не смыкаются либо требуется приложить выраженные усилия, чтобы их закрыть. Патология приводит к нарушениям речи, трудностям во время глотания и жевания, постоянному тонусу мышц ротовой полости. Открытый прикус считается самым сложным для исправления и требует длительного лечения.
Перекрестный
При данном прикусе зубы верхнего и нижнего ряды смыкаются крест-накрест, что приводит к выраженной асимметрии лица. При перекрестном прикусе одна из челюстей выглядит намного тоньше другой, зубные ряды значительно расширяются или сужаются, уголки губ располагаются на разном уровне, в результате чего улыбка становится кривой. Перекрестный прикус повышает вероятность возникновения пародонтита и пародонтоза и требует долгого лечения.
Методы исправления неправильного прикуса у взрослых
Для исправления прикуса зубов применяются следующие методы:
- Использование ортодонтических аппаратов. Исправление прикуса осуществляется с помощью современных специально созданных устройств: кап, несъемных пластинок, брекет-систем, которые фиксирует ортодонт в стоматологической клинике. Выбор наиболее подходящего аппарата осуществляется в индивидуальном порядке в зависимости от выявленных дефектов. Длительность ношения ортодонтических конструкций зависит от тяжести патологии и у взрослых пациентов составляет от одного до трех лет.
- Хирургическое вмешательство. Такой вариант лечения в стоматологии используется в запущенных случаях при неэффективности иных методов. Оперативное лечение показано при значительной асимметрии лица, дисплазии подбородка, открытом переднем или перекрестном прикусе. Во время операции хирург изменяет форму верхней и нижней челюсти, в результате чего восстанавливается правильное смыкание челюстей. После хирургического вмешательства лечение продолжается с помощью брекетов или пластин.
- Мимическая гимнастика. Данный метод выравнивания зубов чаще всего используется в профилактических целях и эффективен только у детей или подростков, когда зубы еще находятся на стадии своего развития. Такие упражнения укрепляют мышцы лица, участвующие в формировании прикуса, а также позволяют устранить возникшие незначительные нарушения. Мимическая гимнастика проводится после консультации ортодонта, который подбирает наиболее эффективные упражнения в зависимости от выявленных изменений.
Этапы исправления прикуса
Пациент является на первичный прием к ортодонту. Доктор беседует с пациентом, выявляет возможные жалобы, интересуется наличием хронических заболеваний, аллергической реакции. Врач обращает внимание на внешний вид больного, положение челюстей, симметричность лица, его речь. Далее доктор проводит осмотр зубочелюстной системы, выявляет различные стоматологические болезни, назначает рентгенологическое исследование. Также на этом этапе специалист составляет план лечения, обсуждает с больным способы исправления прикуса и оглашает примерную стоимость. Длительность диагностического этапа – примерно один день.
До того, как приступить к установке ортодонтической конструкции, специалист направляет пациента к врачу-стоматологу для устранения выявленных заболеваний зубов и слизистых оболочек ротовой полости. Доктор лечит кариес, болезни десен, выполняет профессиональную гигиену полости рта. При необходимости осуществляется хирургическое вмешательство, дополнительное удаление зубов. Далее ортодонт снимает слепки зубов, создает 3D-модель будущего результата лечения, изготавливает необходимые ортодонтические аппараты, например, брекет-системы, элайнеры, капы.
По мере готовности нужных ортодонтических конструкций пациент приходит в стоматологическую клинику на прием к врачу. Специалист фиксирует аппараты в ротовой полости (как правило, это происходит за 1–2 визита). Доктор освещает правила ухода за ротовой полостью, отвечает на вопросы, дает свои рекомендации. В дальнейшем пациент приходит на контрольные осмотры к ортодонту один раз в 1–3 месяца. В этот период доктор оценивает эффект лечения, проводит коррекцию установленных ортодонтических систем.
После окончания ношения ортодонтического аппарата врач устанавливает пациенту специальный ретейнер или каппу, которые позволяют закрепить уже полученный результат и не допустить обратного движения зубных единиц. Длительность ношения ретенционного аппарата устанавливается в индивидуальном порядке и составляет от двух до пяти лет. На этом этапе пациент постоянно наблюдается у врача и выполняет его рекомендации.
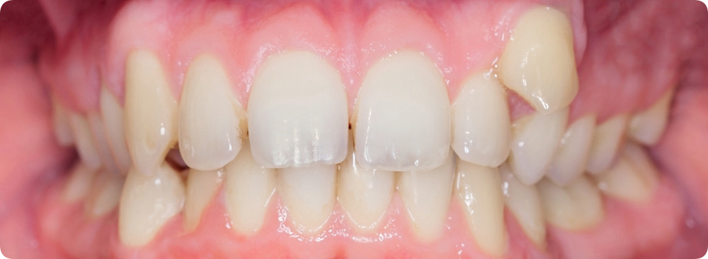
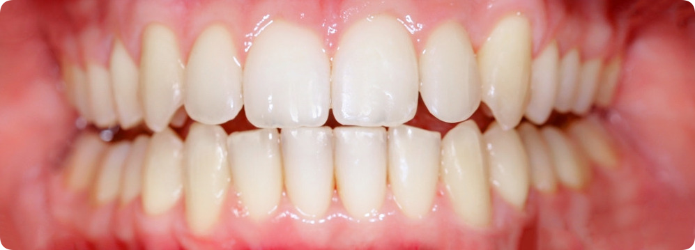
Примеры работ
Отзывы
Оставить отзывВ отличие от нескольких стоматологов, единственая совершенно верно заметила, что десна имеет воспалённый цвет.
Ответы на вопросы
Можно ли исправить прикус после 40 лет?
Установка ортодонтического аппарата не имеет возрастных ограничений. Однако стоит помнить, что в этом возрасте происходит замедление метаболических процессов, а также снижается рост клеток костной ткани. Это, в свою очередь приводит к удлинение процесса исправления прикуса на 1,5–2,5 года, а также к увеличению последующего ретенционного периода.
До какого возраста можно исправить прикус?
Зубные корни способны менять свое положение на протяжении всей жизни. Именно поэтому установка ортодонтических конструкций и исправление зубного прикуса возможны в любом возрасте. Главное, устранить имеющиеся стоматологические заболевания, которые могут помешать лечению.
Портятся ли зубы при носке брекетов?
Установленные ортодонтические аппараты вызывают более выраженное скопление зубного налета на зубах и делают более сложным процесс его удаления. При соблюдении всех указаний врача, проведении тщательной гигиены ротовой полости не происходит развитие кариозного процесса и иных стоматологических болезней, а зубы остаются в хорошем состоянии.
Можно ли установить брекеты только на одну челюсть?
Нижняя и верхняя челюсть находятся тесном контакте друг с другом. Именно поэтому не рекомендуется устанавливать брекеты только на одну из них. Установка брекет-системы на одну челюсть не позволяет эффективно изменить патологический прикус, так как ортодонтический аппарат смещает зубные единицы в нужном направлении, а зубы-антагонисты возвращают их в исходное положение.
Что лучше, брекеты или элайнеры?
Элайнеры и брекеты – это разные ортодонтические аппараты. Элайнеры относят к съемным изделиям. Они подходят для исправления неправильного прикуса легкой и средней степени. Элайнеры необходимо снимать перед приемом пищи и выполнением гигиены ротовой полости. Такие изделия прозрачные, эстетичные и удобные. Брекет-системы оказывают нужное действие в запущенных клинических ситуациях. Брекеты пациент носит постоянно. Они заметны, требуют тщательного ухода и могут вызывать дискомфорт.
Цены на исправление прикуса
| Изготовление элайнера - индивидуальной капы для зубов, 1 челюсть | 10200 р
| Записаться |
| Изготовление элайнера - индивидуальной капы для зубов, 2 челюсти | 19050 р
| Записаться |
| Внутрикостная дентальная имплантация - установка ортодонтического микроимплантата (1 минивинт Конмет, Россия) | 13050 р
| Записаться |
| Удаление ортодонтического микроимплантата (1 минивинт Конмет, Россия) | 4200 р
| Записаться |
| Внутрикостная установка ортодонтического микроимплантата (1 минивинт Mis Link , Израиль) | 23100 р
| Записаться |
| Определение прикуса, вида смыкания зубных рядов, центрального соотношения челюстей | 2500 р
| Записаться |
| Применение капы от бруксизма | 13400 р
| Записаться |
| Исследование на диагностических моделях челюстей (включая стоимость изготовления диагностических моделей) | 600 р
| Записаться |

Лицензии

Мы осуществляем деятельность на основании медицинских лицензий в соответствии с рекомендациями Минздрава




