Остеосинтез локтевого отростка

Показания к остеосинтезу локтевого отростка
После травм и повреждений (падения, ДТП, удары) возникают характерные клинические проявления, которые заставляют пациента обратиться за медицинской помощью. В клинике опытный травматолог проводит аккуратный тщательный осмотр поврежденной области, уточняет анамнез, направляет больного на инструментальные обследования. После анализа всего объема информации специалист устанавливает показания к процедуре, определяет технику операции и ее нюансы.
Остеосинтез локтевого отростка делают под наркозом. Благодаря этому, хирургическая коррекция лишена боли и любых неприятных ощущений. После операции обязательно проводится реабилитация и назначаются специфические методы восстановления, позволяющие достичь нужного результата и не допустить развития любых осложнений.
Остеосинтез локтевого отростка стоит выполнить при обнаружении следующих состояний:
- перелом локтевого отростка со смещением (закрытого, открытого типа);
- множественное нарушение целостности костных структур;
- перелом с отрывом кости;
- простой перелом, при котором невозможно провести другие способы лечения;
- открытый перелом;
- повреждение суставов и связочного аппарата, которые связаны с локтевым отростком;
- неэффективность устранения перелома консервативным путем;
- травматизация крупных сосудов, нервов, сухожилий;
- одновременное повреждение лучевой и локтевой кости;
- осложненные переломы;
- отсутствие двигательной активности конечности, сильные боли;
- перелом кости внутри суставной капсулы.
Противопоказания
Как и при любом оперативном вмешательстве, существует ряд противопоказаний, которые не допускают применение остеосинтеза. Для диагностики ограничений опытный хирург проводит детальный опрос и осмотр, изучает результаты сданных анализов и выполненных обследований. Такой подход дает возможность избежать побочных эффектов хирургического вмешательства и предотвратить неправильное течение восстановительного этапа.
Не используют остеосинтез локтевого отростка в таких случаях:
- подтвержденное шоковое состояние;
- выявленный сепсис;
- рецидив любого сопутствующего хронического заболевания;
- активная фаза ракового процесса;
- риск обильного кровотечения на фоне имеющейся у пациента гипокоагуляции;
- период раннего восстановления или явные признаки инсульта или инфаркта;
- присутствие в зоне руки гнойных ран, признаков инфекционно-воспалительных процессов, размозженных мягких тканей;
- сильное загрязнение раневой поверхности;
- аллергическая реакция на анестетики, крепежные элементы (винты, пластины, проволоку);
- декомпенсированные дыхательные заболевания;
- серьезные патологии почек, печени;
- тяжелые проблемы с сердцем и сосудами;
- тяжело протекающие психические расстройства, эпилепсия;
- разнообразные болезни крови;
- острые инфекции;
- остеопороз костей тяжелой степени;
- прием лекарств, снижающих свертываемость крови;
- нарушение кровообращения ног;
- температура неясного происхождения;
- подтвержденный ДВС-синдром.
Подготовка к оперативному вмешательству
До проведения хирургического лечения пациент проходит комплексное обследование. Вся подготовка состоит из базовых исследований и специфических методик, которые устанавливаются врачом в индивидуальном порядке. Подготовительные мероприятия назначаются с целью выявления противопоказаний к хирургической коррекции, оценки уровня здоровья человека, планирования хода манипуляции и предупреждения возникновения различных осложнений.
Предварительная подготовка к остеосинтезу локтевого отростка по Веберу включает следующие ключевые диагностические процедуры:
- Общий анализ крови
- Биохимия крови
- Общий анализ мочи
- Коагулограмма
- Исследование на ВИЧ, сифилис, гепатит В, С
- Определение группы крови
- ЭКГ
- Флюорография (ФЛГ)
- УЗИ вен нижних конечностей
- УЗИ локтевого сустава
- Рентген локтевого сустава
- КТ локтевого сустава
- МРТ локтевого сустава
- Прием врача-терапевта
- Прием анестезиолога
- Прием кардиолога

Проведение остеосинтеза локтевого отростка в клинике «Будь Здоров»
Пройти платную операцию перелома локтевого отростка в Москве по выгодной стоимости можно в нашем многопрофильном медцентре. Прием проводят ведущие врачи-хирурги высшей категории, которые обладают высочайшими знаниями и навыками и способны разобраться с самой сложной клинической ситуацией. Клиника оснащена новейшим диагностическим оборудованием, гипоаллергенными и безопасными материалами высокого качества, современной аппаратурой. Операция осуществляется по индивидуальному сценарию, не вызывает боли и осложнений, отличается быстрой реабилитацией. Процедура длится примерно 30–60 минут. Чаще всего применяют общее обезболивание.
У нас вы получите комплексный подход, комфортные условия пребывания, круглосуточное наблюдение, доброжелательное и заботливое отношение. Уточнить любую информацию, задать ваши интересующие вопросы и записаться на консультацию к нашим врачам вы можете по телефону, указанному на сайте.Цены на услуги отражены в прейскуранте, который размещен на электронной страничке медицинского центра. При желании запись также доступна через интернет посредством заполнения формы обратной связи или лично у сотрудников клиники в регистратуре.
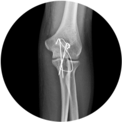
Ход остеосинтеза локтевого отростка:
Придание пациенту правильного положения на операционном столе.
Проведение общего наркоза.
Антисептическая обработка места манипуляции.
Разрез тканей в области локтевого отростка и создание визуального доступа к кости.
Сопоставление костных отломков, возвращение на место смещенных костей, восстановление целостности сосудов и нервов, удаление нежизнеспособных тканей.
Введение металлических спиц и их фиксация с помощью проволоки.
Вторичная обработка с использованием антисептика, наложение швов и стерильной повязки.
Перевод больного в палату стационара.

Результат остеосинтеза локтевого отростка и возможные осложнения
Хирургическое вмешательство обеспечивает очень прочную фиксацию костных отломков. После процедуры не требуется ношение гипсовой повязки.
В результате репозиции костей локтевого отростка:
- восстанавливается функциональность локтевого сочленения;
- купируются неприятные симптомы;
- устраняется риск развития контрактуры;
- возвращается прежняя амплитуда движений;
- появляется возможность ведения привычного образа жизни.
При наличии серьезных сопутствующих болезней, вредных привычек, при несоблюдении указаний хирурга редко, но все же могут возникнуть осложнения. Негативные последствия процедуры:
- возникновение инфекционного процесса;
- развитие воспаления;
- снижение или полное отсутствие чувствительности;
- сохранение болей;
- кровотечение;
- появление послеоперационного артроза;
- развитие тромбоза и эмболии;
- нарушение целостности металлоконструкции;
- формирование ложного сустава.

Восстановление и реабилитация после остеосинтеза локтевого отростка по Веберу
После данного хирургического лечения пациенту необходимо наблюдение в стационаре на протяжении 1–3 дней. В первые дни могут беспокоить болевые ощущения, припухлость тканей. На вторые сутки послеоперационного периода начинается реабилитационный период. Полное срастание фрагментов кости наступает через 4–6 месяцев после хирургического вмешательства.
Рекомендации после остеосинтеза локтевого отростка по Веберу:
- Носить фиксирующий бандаж (длительность определяется врачом в зависимости от сложности случая, характера поражения).
- Принимать лекарства (НПВС, анальгетики, антибиотики при наличии показаний).
- Выполнять специальные упражнения (ЛФК), посещать физиотерапевта, проходить курса массажа.
- Избегать выраженной физической нагрузки, теплового воздействия (сауна, баня, солярий, горячая ванна).
- Исключить алкоголь, никотин.
- Соблюдать режим труда и отдыха.
- Посещать специалиста для оценки процесса заживления и коррекции плана реабилитации.
- Выполнять контрольные рентгеновские снимки спустя 6 недель после операции.
Цена на остеосинтез перелома локтевого отростка
| Прием травматолога-ортопеда (Первичный) | 3900 р
| Записаться |
| Прием травматолога-ортопеда (Повторный) | 3900 р
| Записаться |

Условия размещения
При каких заболеваниях проводится?
Лицензии

Мы осуществляем деятельность на основании медицинских лицензий в соответствии с рекомендациями Минздрава



