Гамартома легких
Гамартома легких — это доброкачественное новообразование органа дыхания. Болезнь не новая, ее история начинается еще с 1904 года. И совсем нередкая. Приблизительно 60% доброкачественных новообразований приходится именно на эту форму. Тем не менее споры вокруг нее так и не прекращаются. До конца не определена причина происхождения. Нет четкой информации о дифференциальной диагностике. Отсутствуют патогномоничные признаки (характерная именно для этой болезни симптоматика).
Чаще обнаруживается образование, как случайная находка, при плановом профилактическом обследовании или во время рентгена по выявлению сопутствующих аномалий. Рентгенолог описывает неоплазию, направляет пациента на дообследование. Далее занимается проблемой онколог, торакальный хирург.

Причины гамартомы легких
Почему в воздухоносных путях развивается доброкачественное новообразование, врачи до сих пор не знают.
Наиболее распространена теория нарушения эмбриогенеза. В частности, органы дыхания закладываются на 4-5 неделе жизни. Женщина о беременности еще может и не догадываться, а бронхолегочная система уже начинает формироваться. Если на этом этапе на будущую маму действуют внешние факторы или есть какие-то внутренние триггеры, развитие нарушается. В одном из участков паренхимы формируется новообразование.
Есть и несколько других гипотез: опухолевая, гиперпластическая, воспалительная. Однако достоверных исследований, как они повлияли на возникновение гамартомы, в научной литературе не встречается. Поэтому описаны они только в теории.
Факторы риска
Говоря о факторах риска, специалисты отталкиваются от основной дизэмбриогенетической теории, когда развивается болезнь по ходу внутриутробного развития. Выделяют среди триггеров внешние воздействия и некоторые эндогенные причины. А именно:
- зависимость матери от психогенных веществ (никотин, алкоголь);
- частое радиационное воздействие;
- проживание в экологически неблагоприятной обстановке;
- механическая травматизация живота;
- некоторые инфекционные заболевания;
- старший возраст родителей;
- сопутствующие системные аномалии;
- генетическая предрасположенность;
- отдельные хромосомные мутации.
Патогенез
Гамартома легкого у взрослого, по особенностям своего развития – это опухоль, в классическом ее понимании. Так же как и раки, она характеризуется аномальным строением, ткани четко не дифференцированы и отсутствует именно одно, правильное для неоплазии, расположение. Но в отличие от других новообразований, очаг в легких никогда не озлокачествляется. За всю историю наблюдения описано не больше пары десятков случаев озлокачествления.
Макроскопически опухоль выглядит как очаг округлой формы, с четкими ровными контурами. Отделена от остальной паренхимы. Относительно гладкая. Размеры небольшие, до 2-4 см. Реже достигают 10-12.
Что касается тканевой принадлежности, состоит гамартома одновременно из мезенхимальной и эпителиальной ткани. В качестве первой из перечисленных может выступать фиброзная, хрящевая, жировая и сосудистая. Встречаются участки окостенения. Склеено это все между собой эпителием с преобладанием железистого компонента. Нередко из последнего формируются кисты.
Классификация
Систематизируют новообразование по преобладающей в ней ткани, расположению, клинической симптоматике.
В зависимости от результата микроскопии специалисты выделяют следующие формы:
- хондроматозную (гамартохондрома – преобладает гиалиновый хрящ);
- липоматозную (больше адипоцитов, жировых клеток);
- лейомиоматозную (сочетает в себе гладкомышечные компоненты и клетки бронхоальвеолярного дерева);
- фиброзную (определяется много соединительнотканных волокон);
- кистозную (больше железистых кист).
Чаще однокомпонентных регистрируются многокомпонентные формы, состоящие из разных типов тканей (например, липохондроаденома).
По локализации гамартома бывает:
- односторонней (в правом или левом легком);
- двусторонней.
В зависимости от расположения очага существует:
- локальная форма (нижней доли, верхней доли);
- диффузная форма (распространяется на большую площадь).
По клинической картине опухоль может протекать:
- бессимптомно;
- скрыто;
- с яркой симптоматикой.
Симптомы гамартомы легких
Образования малого размера не дают никакой симптоматики. Пациент не ощущает и не знает, что в легких есть какой-то патологический процесс. Затем проходит диспансеризацию или обращается к врачу по поводу респираторной инфекции, делает снимок для исключения пневмонии. Рентгенолог видит опухоль, с чего и начинается дообследование.
Реже встречается, что неоплазия достигает внушительных размеров, занимает пространство, в норме предназначенное для газообмена. Или того хуже, сдавливает рядом расположенные анатомические структуры. Клиника активно себя проявит.
Пациент будет жаловаться на боль в груди справа или слева. Сперва не сильная, но по мере роста образования интенсивность нарастает. Резко усиливается при физической нагрузке, попытке глубоко вдохнуть. Надо сказать, сделать это получается не всегда, так как при больших объемах поражения пространство для газообмена сильно уменьшается. Отсюда вытекает следующий симптом – одышка. Для восполнения дефицита, устранения гиперкапнии частота дыхания возрастает.
Сухой непродуктивный кашель, описываемое в теории кровохарканье на практике встречается редко.
Осложнения
Гамартома — образование доброкачественное. Оно крайне медленно увеличивается в размере. Редко достигает внушительного диаметра, поэтому и осложнений немного. Но полностью исключить их невозможно.
К числу последствий новообразования стоит отнести:
- сдавление бронхиального дерева;
- выключение участка легкого из дыхания с формированием ателектаза;
- хроническую дыхательную недостаточность;
- цианоз;
- рецидивирующие респираторные инфекции;
- поражение сердечно-сосудистой системы на фоне нарушения газообмена.
Основываясь на наших наблюдениях, первой жалобой пациентов с неоплазией нередко становятся рецидивирующие респираторные инфекции. Если в норме человек болеет ими 2-4 раза в год, то при гамартоме остаточные явления по типу кашля, незначительного повышения температуры тела беспокоят чуть ли не постоянно. Пациент проходит лечение, симптомы стихают, но быстро возвращаются вновь. Снова терапия, снова рецидив и так по кругу.
Дело в том, что при росте новообразования просвет бронха уменьшается, мокрота из легких выводится хуже, застаивается. Становится источником для размножения патогенных микроорганизмов. Как результат, вероятность воспалительных процессов органов дыхания увеличивается. Иммунореактивность бронхолегочной системы, наоборот, страдает. Пациент жалуется на проблемы с дыханием.

Диагностика
Начать описание диагностики стоит с того, что предположит хондроматозную гамартому врач вряд ли. Опухоль хоть и нередкая, но не типичная. Гораздо быстрее терапевт заподозрит ОРВИ, раковые опухоли, астму и прочие патологические процессы. Детально спросит о жалобах, соберет анамнез заболевания и жизни. На основании этой информации сможет понять, что проблема в органах дыхания, определит план действий для выявления нарушения. Если первичную консультацию еще можно провести вызвав врача на дом, то для дальнейшего обследования посетить клинику все-таки придется.
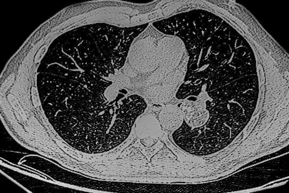
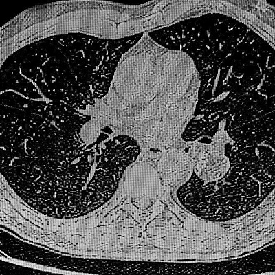
Предпочтение доктора отдают рентгенологическим тестам. В частности, изучают легкие с помощью рентгенографии органов грудной клетки и компьютерной томографии. Опухоль врач увидит. Четкие, ровные края, небольшой размер, солитарность поражения. И даже, вероятно, предположит доброкачественность, так как от окружающей паренхимы ткань неоплазии отличается мало. Но выставить диагноз только на основании картинки на экране монитора не получится. Нужна верификация.
Подтвердить именно гамартому поможет цитология. Хирург под контролем УЗИ или рентгена, вводит в очаг поражения иглу. Потягивает поршень на себя, получает клетки. Дальнейшее их исследование позволяет точно понять, с какой болезнью придется иметь дело и как ее лечить. Значительно реже специалисты получают клетки и ткани путем торакоскопии, торакотомии.
Выявляют образование у мужчин в 2 раза чаще, чем у женщин. Принадлежности к одной из сторон нет. Правая и левая половины поражаются одинаково. Но есть данные о локализации предпочтительно в верхнем сегменте и на периферии. По количеству опухоль обычно солитарная. Множественные очаги – казуистика.
Лечение гамартомы легких
Вылечить заболевание можно только в условиях стационара, оперативным путём. Никакие таблетки, процедуры и прочие средства избавиться от образования не помогут. Единственный вариант его устранения – плановое хирургическое вмешательство. Но прибегать к нему нужно далеко не всегда.
Показания к инвазивным методикам строго ограничены:
- размер в наибольшем измерении превышает 25 мм;
- быстрый темп роста;
- лёгочные проявления, не поддающиеся консервативной терапии;
- сомнения в доброкачественности процесса;
- психологический настрой пациента, тревожность относительно самого факта имеющегося новообразования.
В любом из перечисленных вариантов хирург предложит операцию. Предпочтение специалисты отдают малоинвазивным методикам: торакоскопия, бронхоскопия при эндобронхиальной локализации. Если их уже выполнить невозможно, остается вариант открытых вмешательств. Применяется энуклеация новообразования, резекция легкого (в пределах сегмента (сегментэктомия), доли (лобэктомия)) или удаление всего органа (пневмонэктомия).
Напротив, отсутствие показаний к операции означает динамическое наблюдение. Пациент раз в полгода, в год проходит рентгенографию грудной клетки, низкодозовую компьютерную томографию лёгких. Врач изучает динамику изменений. В любой момент при необходимости сможет сменить тактику с мониторинга на хирургию.
Прогноз и профилактика
Прогноз благоприятный. В абсолютном большинстве случаев человек живет всю жизнь с этим новообразованием. Никак оно не беспокоит. Или же врач предлагает удаление гамартомы легкого, выполняет хирургическое вмешательство.
Профилактика заключается в исключении тератогенного действия на плод. Гинеколог рекомендует будущей маме:
- исключить любые психоактивные вещества;
- не получать ионизирующего излучения без веской на то причины;
- исключить травмы живота;
- наблюдаться у гинеколога в течение всего гестационного периода, выполнять все его рекомендации;
- своевременно обращаться к специалисту при обострении хронических заболеваний, в острых процессах.
Источники
- Васильев Н.В., Самцов Е.Н., Байдала П.Г., «Гамартома легких: предмет исследования и опыт наблюдения», 2008.
- Пикунов М.Ю. «Множественные хондроматозные гамартомы легких», 2004.
- Гринберг Л.М., Костерина Н.Е., Коротков П.Б., «Гигантская хондроидная гамартома легкого множественно-узловатого строения», 2017.

Ответы на вопросы
Передаются ли гамартомы по наследству?
Обычно нет. Новообразование формируется в результате нарушения внутриутробного развития, эмбриогенеза. Наследственность тут ни при чем. Но нельзя не упомянуть ряд именно генетических аномалий, частным проявлением которых является гамартома. Вот тут уже определяющее значение имеет аномалия генома.
Может ли гамартома появиться снова после удаления?
Нет, не может. Если новообразование растет, беспокоит, и врач принимает решение о его иссечении, заново опухоль не появляется. Исключение составляют случаи, когда неоплазия удалена нерадикально. С целью сохранения большей части органа врач выполняет экономную резекцию или только энуклеацию. Клетки очага остаются. Нечасто, но могут заново себя реорганизовать. Стать причиной рецидива.
Можно ли вылечить гамартому без операции?
Нет, нельзя. Новообразование считается структурным изменением. Оно отделено от окружающей легочной ткани капсулой. Ни лекарственные средства, ни физиопроцедуры, ни мануальные техники не способны разрушить оболочку. Устранить опухоль. Поэтому на сегодняшний день единственным способом ее лечения остается хирургическое вмешательство.
Как понять, что это именно гамартома без уколов и разрезов?
Без цитологического и гистологического исследования убедиться конкретно в гамартоме не получится. Врач должен исследовать клетки, ткани. Обнаружить специфичные для неоплазии фрагменты. И только на основании этого выставить диагноз. Сведения, которые специалист получает в ходе рентгенографии, КТ лишь приблизительные. Характерные для очага обызвествление, окостенение, кистозные полости встречаются при десятках новообразований. Дифференцировать одно от другого крайне затруднительно.
Заболевания по направлению Онколог
Лицензии

Мы осуществляем деятельность на основании медицинских лицензий в соответствии с рекомендациями Минздрава











