Генерализованный пародонтит
Генерализованный пародонтит – это деструктивно-воспалительный процесс, когда десны постепенно ослабевают и уже не держат зубы так, как должны. Поначалу все выглядит безобидно: чуть кровит при чистке, появляется запах, зубы становятся чувствительными. Многие на этом этапе просто привыкают. Но со временем воспаление уходит глубже – страдают связки и кость, из-за чего зубы начинают шататься.
Обычно с этим разбираются стоматолог-терапевт и пародонтолог: первый убирает воспаление и инфекцию, второй старается сохранить десны и опору зубов. Если ситуация уже запущена, к лечению подключают ортопеда – чтобы укрепить зубы и привести прикус в порядок.

Причины генерализованного пародонтита
Заболевание редко возникает на пустом месте. Обычно все начинается с обычного гингивита или легкого воспаления десен, на которое долго не обращают внимания. Десны периодически кровят, появляется запах изо рта. На зубах скапливается налет, он твердеет и превращается в зубной камень, а под ним активно размножаются бактерии. Они постоянно раздражают десну, воспаление становится хроническим и постепенно уходит глубже – к связкам и кости, которые держат зуб. Ситуацию усугубляют факторы риска.
Предрасполагающие факторы развития заболевания
Провокаторов у патологии много, и чаще всего они работают в связке. Локальными причинами являются:
- плохая гигиена полости рта (зубные отложения);
- неправильный прикус;
- скученность зубов;
- бруксизм (неконтролируемый скрежет зубами);
- травмирующие пломбы и коронки;
- особенности прикрепления уздечек губ и языка.
Есть и общие предпосылки, связанные с состоянием организма в целом. Это сахарный диабет, заболевания щитовидной железы, ожирение, остеопороз, проблемы с пищеварением, патологии крови, гиповитаминозы, хронические воспалительные процессы. Курение снижает приток крови к деснам, из-за чего воспаление может долго протекать почти бессимптомно, но при этом разрушение тканей идет активно. Нельзя забывать и о наследственности: у некоторых людей ткани пародонта изначально более уязвимы.
Патогенез
Если коротко, этиология генерализованного пародонтита такая: бактерии из поддесневого налета выделяют токсины, которые запускают воспаление. Десна отекает, перестает плотно прилегать к зубу, образуются пародонтальные карманы. В них скапливается еще больше микробов, и воспаление уходит глубже – разрушается связка и начинает атрофироваться костная ткань. Зубы теряют опору, появляется подвижность и перегрузка отдельных участков. Без лечения процесс прогрессирует.
Классификация, степени генерализованного пародонтита
Речь идет о многослойном заболевании. Оно отличается не только выраженностью симптомов, но и тем, как именно протекает воспаление, с какой скоростью разрушаются ткани и как реагирует на это организм. Поэтому в клинической практике заболевание классифицируют сразу по нескольким критериям: по характеру течения, активности процесса и степени тяжести. Это не формальность – от этих нюансов напрямую зависит лечение и прогноз.
По характеру течения выделяют острую и хроническую формы.
Чаще всего врачи сталкиваются с хроническим генерализованным пародонтитом. Это вялотекущий процесс: кажется, ничего не болит, но проблема никуда не исчезает. Десны то кровят, то нет, появляется неприятный запах, зубы реагируют на холодное или горячее. К врачу многие не спешат. Воспаление в это время спокойно протекает в пародонтальных карманах и медленно подтачивает ткани, влияя не только на зубы, но и на общее самочувствие.
Острый генерализованный пародонтит – совсем другая история. Тут уже терпеть труднее: десны резко отекают, болят, краснеют, может появляться гной, иногда поднимается температура и ощущается общая слабость. Чаще всего это не новая болезнь, а наличие обострения старого хронического процесса, которое проявляется на фоне снижения иммунитета, стресса или серьезной нагрузки на организм.
Отдельно говорят про генерализованный пародонтит агрессивной формы. Он встречается реже, но проявляется очень ярко. Кость разрушается быстро, иногда за несколько месяцев, причем даже у молодых людей и при вроде бы нормальной гигиене. Обычно здесь совпадает сразу несколько факторов: особенно агрессивная микрофлора и слабый иммунный ответ организма.
Также патология классифицируется по степени тяжести процесса.
- Генерализованный пародонтит легкой степени – начальный этап заболевания. Воспаление уже поражает ткани пародонта, но разрушение минимальное. Формируются неглубокие зубодесневые карманы до 3–3,5 мм, на рентгене видно убыль кости не более чем на треть длины корня. Основные жалобы – кровоточивость при чистке, запах изо рта, периодический дискомфорт. Подвижности зубов нет, и именно поэтому эта стадия часто остается без лечения.
- Генерализованный пародонтит средней степени тяжести – это уже клинически выраженная проблема. Карманы 4–5 мм глубиной, костная ткань обнажается примерно наполовину длины корня. Появляется подвижность зубов, оголение шеек, повышенная чувствительность к температуре и нагрузке. Десны воспалены постоянно, возможны серозные или гнойные выделения. На этом этапе пациенты чаще всего и приходят к врачу, потому что симптомы начинают мешать в повседневной жизни.
- Генерализованный пародонтит тяжелой степени характеризуется глубокими карманами более 5 мм и выраженной резорбцией кости – более 50% корня. Десны отечные, кровоточивые, с постоянным воспалением и гноетечением. Зубы становятся сильно подвижными, смещаются, нарушается прикус. Возможны пародонтальные абсцессы, свищи и самопроизвольная потеря зубов. Без комплексного лечения эта стадия почти всегда заканчивается частичной или полной адентией.
Степень и форма недуга – это не просто диагноз для галочки. Они показывают, насколько глубоко зашел процесс и можно ли остановить его консервативно или уже требуется комплексное, иногда длительное лечение с участием пародонтолога, терапевта, ортопеда. Чем раньше определена форма заболевания, тем больше шансов сохранить зубы и избежать тяжелых последствий.
Симптомы генерализованного пародонтита
При генерализованной форме пародонтита признаки заболевания могут проявляться по-разному. Если процесс хронический, они обычно мягкие и постепенно нарастают, а при обострении генерализованного пародонтита становятся яркими и неприятными. Ниже можно выделить основные признаки, на которые стоит обратить внимание, чтобы вовремя понять, что с пародонтом что-то не так:
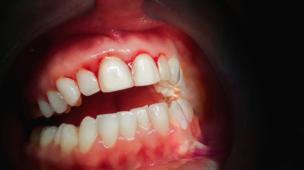
- Кровоточивость десен. Появляется при чистке зубов или даже при легком дотрагивании. Десны воспалены, капельки крови – сигнал, что они сдают позиции.
- Неприятный запах изо рта. Иногда не каждый день, но заметно при разговоре или после еды. Запах – следствие хронического воспаления и бактериального налета.
- Чувствительность зубов. Реакция на холодное, горячее или кислое. Десна отступает, оголяются шейки зубов, поэтому они остро реагируют.
- Легкая подвижность зубов. Зубы начинают немного шевелиться. На вкус это почти не чувствуется, но при пережевывании жесткой еды можно заметить дискомфорт.
- Дискомфорт при жевании. Иногда кажется, что зубы неустойчивые или слегка бьют друг о друга. Это связано с тем, что связки и костная ткань постепенно теряют опору.
- Рыхлые десны. Они становятся мягкими и воспаленными, легко раздвигаются пальцем или зубной щеткой. Это сигнал, что пародонт слабый и требует внимания.
Осложнения
Если генерализованный пародонтит запустить, последствия могут быть очень неприятными.
- Зубы становятся подвижными и могут выпасть сами, особенно если болезнь запущена.
- Появляются пародонтальные абсцессы, могут локализоваться свищи – это когда воспаление превращается в гнойные «кармашки» прямо в десне, больно и неприятно.
- Нарушается прикус, зубы смещаются, жевать становится неудобно.
- В особо серьезных случаях воспаление может повлиять на весь организм: повышается риск сердечно-сосудистых проблем, обостряются хронические болезни.
Диагностика
Диагностировать генерализованный пародонтит дома нельзя. Можно заметить тревожные признаки: десны кровят, зубы стали чувствительные, иногда шатаются, появляется запах изо рта – и это уже сигнал, что пора к врачу. В большинстве случаев хватает похода к стоматологу или пародонтологу. Иногда для точной картины нужна стационарная проверка – сделать все анализы и снимки.
Чтобы понять, что конкретно происходит с зубами и деснами, врачи используют целый набор методов. Их можно разделить на три группы: физикальные, лабораторные и инструментальные.
На начальном этапе врач расспрашивает: что и когда беспокоит, где чувствуется боль, есть ли кровоточивость или шатание зубов. Эти простые вопросы помогают понять, насколько запущен процесс. Дальше следует осмотр полости рта. Врач внимательно смотрит на зубы и десны, проверяет налет и зубной камень, оценивает цвет десны, ее отек и покраснение. Все это сразу дает понимание о степени воспаления.
После осмотра врач проверяет десны и зубы с помощью пальпации и зонда. Легким нажатием или движением инструментом определяется, насколько десна держится, есть ли карманы между зубом и десной, а зубы – подвижные или еще держатся крепко. Чтобы понять, нет ли скрытого воспаления корней, иногда постукивают по эмали – это позволяет оценить, есть ли перегрузка или боль внутри зуба.
Лабораторная диагностика помогает понять, что происходит внутри организма, не пришел ли процесс на другие органы. Анализы крови показывают, есть ли воспаление, как работает иммунная система, нет ли проблем, которые могут усугублять пародонтит. Микробиологические тесты позволяют выявить бактерии, которые живут в пародонтальных карманах и активно разрушают десны и кость.
Инструментальные методы предполагают разные виды снимков и измерений. Рентген и панорамные снимки дают наглядную картину: сколько кости потеряно, как держатся зубы, нет ли скрытых проблем. Компьютерная томография (КТ) назначается в сложных случаях, когда важно точно увидеть структуру кости и планировать сложное лечение. Используют и профессиональные замеры, гигиенические индексы – чтобы понять, насколько сильно налет и воспаление влияют на пародонт.
Лечение генерализованного пародонтита
Если заниматься самолечением дома, будет только хуже. На ранней стадии можно обойтись амбулаторным визитом к стоматологу. Стационар нужен в очень редких случаях.
Сначала обычно начинают с местного лечения генерализованного пародонтита. Врач аккуратно убирает весь камень и налет, чистит пародонтальные карманы, смазывает их гелями и антисептиками, иногда делает аппликации с противовоспалительными средствами. Меры снимают отек, тормозят воспаление и не дают бактериям разносить разрушение дальше по деснам и костям.
Потом подключается терапевтическое лечение генерализованного пародонтита – лечат не только зубы, а весь организм. Антибиотики, витамины, противовоспалительные препараты – все это нужно, чтобы иммунитет работал как часы, а десны не сдавались. Подключают регулярные чистки и контроль прикуса, чтобы зубы не перегружались, и, если нужно, подправляют сопутствующие болезни, которые могут усугублять воспаление.
Если зубы уже начали шататься или карманы стали глубокими, используют ортопедические методы лечения генерализованного пародонтита. Шины, коронки, мосты, временные протезы – все, что держит зубы на месте и помогает прикусу не съехать. Обычно это делают после того, как воспаление снято и карманы обработаны, чтобы зубы получили поддержку и шанс снова нормально удерживаться в десне.
Нельзя забывать и про домашние меры – они не лечебные, но поддерживают эффект лечения. Чистка зубов дважды в день, использование зубной нити, антисептические полоскания, правильное питание и массаж десен помогают удерживать воспаление под контролем и препятствуют новому образованию налета.
После того как основная работа сделана, наступает этап реабилитации. Врач будет наблюдать за состоянием десен, проводить профессиональные чистки и контролировать прикус. Если нужно, ставятся ортопедические конструкции, чтобы закрепить результат и сохранить зубы.
Прогноз и профилактика
Прогноз в основном зависит от того, на какой стадии начали лечение и насколько строго человек выполняет рекомендации врача. Если прийти к доктору вовремя и следовать его советам, прогноз благоприятный.
Профилактика играет огромную роль. Чистите зубы дважды в день, пользуйтесь зубной нитью, регулярно делайте полоскания, и не пропускайте визиты к стоматологу для профессиональной чистки налета. Следите за прикусом, не перегружайте зубы и постарайтесь сократить вредные привычки – курение, чрезмерное потребление сладкого и кислого ускоряют разрушение десен.
Многие думают, что генерализованный пародонтит – это только про налет и воспаление десен, и что, если чистить зубы лучше, все пройдет само. Но зачастую мы видим совсем другую картину. Иногда люди с отличной гигиеной и минимумом налета приходят с серьезной подвижностью зубов, и здесь классические правила почти не работают.
Наше исследование показало, что причина далеко не всегда в бактериях или камне. Бывает, что организм как будто решает, что десны – это лишняя нагрузка, и иммунитет начинает себя вести как мятежник, разрушающий собственные ткани. Так что привычные способы вроде чистки и полоскания оказываются только частью решения, а полноценный контроль воспаления требует комплексного подхода.
Благодаря нашим знаниям, полученным на практике, мы начали комбинировать местное лечение пародонтита с точечным влиянием на иммунитет и мягкими ортопедическими методами, даже на ранних стадиях. Такая тактика оправдала себя – зубы остаются на месте дольше, а пациенты меньше жалуются на боль и дискомфорт. Как видим, все решает комплексный взгляд на проблему, а не только привычные штампы.

Источники
- Робустова Т. Г. Терапевтическая стоматология : учебник для студентов стоматологических факультетов / Т. Г. Робустова. — Москва : Медицинская книга, 2020. — 512 с.
- Боровский Е. В., Леонтьев В. К. Заболевания периодонта : учебное пособие для студентов и врачей-стоматологов / Е. В. Боровский, В. К. Леонтьев. — Москва : Медицина, 2019. — 288 с.
- Тимофеев А. А. Хирургическая стоматология : национальное руководство / под ред. А. А. Тимофеева. — Москва : ГЭОТАР-Медиа, 2018. — 896 с.
- Пародонтология : руководство для врачей / под ред. Е. А. Лариной. — Москва : ГЭОТАР-Медиа, 2021. — 384 с.
- Carranza F. A., Newman M. G., Takei H., Klokkevold P. R. Carranza’s Clinical Periodontology. — 13th ed. — St. Louis : Elsevier, 2019. — 832 p
- Newman M. G., Takei H., Klokkevold P. R., Carranza F. A. Clinical Periodontology. — 14th ed. — Philadelphia : Elsevier, 2021. — 944 p

Ответы на вопросы
Больно ли лечить глубокие пародонтальные карманы?
Нет. Местное обезболивание исключает боль. После процедур бывает легкая чувствительность, которая быстро проходит.
Сколько времени уходит на терапию?
Все индивидуально. На легкой стадии можно справиться за пару визитов, а если карманы глубокие и зубы шатаются – процесс может растянуться на несколько месяцев. Главное – терпение и дисциплина.
Заболевания по направлению Стоматолог-терапевт
Лицензии

Мы осуществляем деятельность на основании медицинских лицензий в соответствии с рекомендациями Минздрава

















































