Зубной камень
Зубной камень — это твердые зубные отложения, которые развиваются из мягкого налета при минерализации его структуры под влиянием слюны и условно-патогенных микроорганизмов. Камень выглядит неэстетично. Он хорошо виден, часто сильно пигментирован (в особенности у пациентов, которые часто и много курят).
Кроме того, появление твердых отложений — серьезный фактор риска развития различных патологических процессов. От пародонтита до кариеса (причем такого, который провоцирует развитие поражений корня, а значит высокий риск потери зубов). Удаление зубного камня самостоятельно — задача невозможная. Чтобы устранить его, требуется помощь стоматолога-терапевта, гигиениста.
Проводится профессиональная чистка. Пройти ее можно амбулаторно, достаточно 30-40 минут. Во время процедуры нет ни боли ни дискомфорта. Потому она проводится в том числе при лечении детей. По необходимости дополнительно лечат нарушения, которые развились в ходе скопления камня.

Причины, почему образуется зубной камень
В основе развития камня лежит множество различных факторов. Главная причина появления зубного камня — некачественная гигиена, неправильная чистка зубов. Особенно это касается областей, которые трудно очистить собственными силами. Где, собственно, твердые отложения и появляются наиболее часто. Наши исследования показывают, что у 80–90% взрослого населения наблюдаются признаки зубного камня. Он чаще образуется у тех, кто употребляет много сладкой пищи, курит или страдает заболеваниями десен. Однако образуется он даже при качественной гигиене и соблюдении всех рекомендаций по здоровью полости рта. Понимание причин образования зубного камня и, что еще более важно, знание мер профилактики — это залог здоровья полости рта.
В чем непосредственные причины образования зубного камня
Зубной камень формируется в результате минерализации зубного налета. Процесс образования твердых отложений происходит из-за ряда факторов связанных с нарушением гигиены полости рта и некоторыми физиологическими изменениями. Если говорить о факторах развития проблемы, наиболее часто они таковы.
Первая — особенности чистки зубов и в целом гигиены ротовой полости. При условии, что она проводится не так, как нужно. Главной причиной активного развития твердых отложений было и остается неполное или нерегулярное устранение налета. При недостаточной чистке зубов мягкий налет остается на их поверхности. Особенно обильно он скапливается в трудных для чистки местах. Поэтому чаще всего камень формируется в пришеечной области, где коронка переходит в десну, а также в области между зубами. В большей мере между жевательными единицами (премолярами и молярами). Со временем мягкий налет уплотняется и превращается в твердую субстанцию. С этого момента самостоятельно механическим способом снять образования уже не получится. Показана профессиональная гигиена под контролем специалиста.
Вторая весомая причина — различные изменения химической структуры, состава слюны. Химический состав слюнной жидкости играет важную роль в формировании зубного камня. У пациентов, которые сталкиваются с образованием наддесневого и поддесневого камня, в слюне повышен уровень минеральных веществ. Особенно много обнаруживается кальция и солей-фосфатов. Изменение состава ускоряет процесс минерализации налета. Кроме того, снижение уровня секреции слюны или ее густота часто ухудшают естественную очистку зубов. Кроме прочего, изменение состава слюны может спровоцировать усугубление уже существующих гигиенических проблем.
Третья стоматологическая причина появления камня — накопление остатков пищи. Недостаточное удаление остатков пищи способствует увеличению количества бактерий в полости рта. Эти микроорганизмы активно размножаются и формируют основу зубного налета, который впоследствии минерализуется. Не в последнюю очередь под влиянием продуктов жизнедеятельности вредоносных организмов, органических кислот.
На молочных зубах камень практически не образуется. Причины этого явления довольно простые. Во-первых, камень не успевает сформироваться. Во-вторых, сказывается иной состав слюны. Кроме того, камень может сформироваться. Принципиально такое возможно. Но это очень редкое явление. Впрочем, это не значит, что можно не чистить зубы и не следовать правилам гигиены.
Механизм образования зубного камня
Образование твердых зубных — это многоэтапный процесс. Начинается он с формирования зубного налета и заканчивается отложением минеральных солей. Патогенез включает несколько ключевых этапов.
Все начинается с формирования зубного налета. Он состоит из остатков пищи, бактерий и их продуктов жизнедеятельности, а также белков слюны. Этот налет может появиться уже через несколько часов после чистки зубов, употребления пищи. Бактерии, размножающиеся в налете, создают липкую биопленку, которая прочно прикрепляется к поверхности эмали.
Затем происходит накопление и созревание налета. Если мягкий налет не удаляется своевременно, его структура становится плотнее за счет слущивания клеток эпителия, накопления остатков пищи и увеличения количества бактерий. Отложения становятся благоприятной средой для дальнейших изменений. Источником питательных веществ для многочисленных патогенных и условно-патогенных микроорганизмов (стафилококков, стрептококков, спирохет, актиномицетов и прочих).
Начинается минерализаци. Процесс запускается через 24–48 часов после образования налета. Ионы кальция и фосфата из слюны оседают на поверхности мягких отложений, формируют т.н. неорганическую матрицу. Процесс активируется при определенных условиях, таких как высокая концентрация минералов в слюне или нарушение ее нормального состава.
Происходит образование твердой структуры. Со временем наблюдается уплотнение налета. Наконец, он превращается в твердую массу — зубной камень. В среднем, процесс занимает от нескольких дней до нескольких недель. Минерализованные отложения трудно удалить обычной зубной щеткой, что способствует дальнейшему накоплению отложений. Часто камень состоит из множества слоев.
В конечно счете объем камня существенно увеличивается. Если ничего не делать, начнутся проблемы со стороны полости рта. Воспалительный процессы, кариес и многое другое.
Факторы риска развития твердых отложений
Развитие зубного камня ускоряется под влиянием ряда факторов. Они увеличивают вероятность его образования. Эти факторы нельзя назвать прямыми причинами, но именно они создают благоприятные условия для становления проблемы. Среди них:
- особенности состава слюны: генетически обусловленные изменения состава слюны, повышенное содержание кальция, фосфатов или снижение активности ферментов, способствуют ускорению минерализации налета;
- различные заболевания полости рта: патологии создают очаги воспаления и способствуют накоплению налета, который легче минерализуется;
- гормональные изменения: гормональные нарушения сказываются на составе слюны и снижают защитные функции тканей полости рта, сопротивляемость вредным микроорганизмам;
- наличие ортодонтических конструкций и зубных протезов: брекеты, коронки, мосты и протезы создают труднодоступные для очистки зоны, налета накапливается много, отсюда гигиенические проблемы и образование камня;
- питание: употребление большого количества углеводов, недостаток твердой пищи (овощей, фруктов), вот дополнительные факторы риска;
- вредные привычки, в первую очередь курение — увеличивают образование мягких отложений;
- некоторые системные заболевания: сахарный диабет, заболевания эндокринной системы, обменные нарушения и снижение иммунитета могут пусть и косвенно, но повлиять на образование твердых зубных отложений.
Сказываются гигиенические привычки. Привычка чистить зубы слишком мало, в одних и тех же районах, пренебрежение использованием флосса или ирригатора создают повышенную вероятность образования камня.
Классификация и виды твердого зубного налета
В зависимости от расположения, локализации выделяют две разновидности зубного камня:
- наддесневой: образуется на видимой части зуба, обычно вблизи протоков слюнных желез (например, на внутренней стороне нижних резцов и внешней поверхности верхних моляров), имеет светлый или желтоватый цвет, иногда окрашивается пищевыми красителями, при утолщении становится темно-коричневым, реже — зеленоватым;
- поддесневой: формируется в пародонтальных карманах под десной, отличается более плотной структурой и темным цветом (коричневым, черным или зеленым) из-за контакта с компонентами крови и десневой жидкостью, быстро затвердевает, провоцирует серьезные заболевания, удалить его можно только профессиональными способами.
Другой способ классификации — по стадии формирования. Выделяют три формы камня.
- образования на начальном этапе формирования: налет, еще не подвергся полной минерализации, при правильной гигиене легко отделяется, можно устранить своими силами;
- стадия минерализации, происходит осаждение минеральных солей, которые уплотняют налет;
- сформированный зубной камень.
Классификации зубного камня помогают лучше понять суть нарушения. Подобрать оптимальные процедуры для удаления отложений.
Симптомы зубного камня
Зубной камень сопровождается рядом симптомов, которые указывают на его существование и на развитие вторичных патологических процессов.
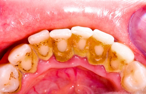
Первое, что бросается в глаза — внешний вид зубного камня. Со стороны он выглядит как твердые, шероховатые образования высокой абразивности на поверхности зубов.
Наддесневой камень обычно имеет белый, желтоватый или коричневатый цвет.
Поддесневой камень темнее: цвет коричневый, темно-зеленый или черный.
Помимо визуальных признаков есть и функциональные признаки:
- выраженная кровоточивость десен: твердая структура может травмировать окружающие ткани, спровоцировать их воспаление, кровоточивость чаще возникает во время чистки зубов или приема пищи;
- отечность, а также воспаление десен: зубной камень провоцирует накопление бактерий, десны становятся красными, отечными и болезненными при касании;
- неприятный запах изо рта, по-другому называется галитозом, бактерии, обитающие на поверхности и в толще зубного камня, выделяют сернистые соединения, отсюда стойкий неприятный запах, удалить его даже при качественной чистке невозможно, он отличается стойкостью;
- повышенная чувствительность зубов: зубной камень вызывает оголение шейки зуба, что делает зубы чувствительными к холодному, горячему, кислому или сладкому;
- шероховатость зубов: особенно вблизи десен;
- образование, а затем и углубление десневых карманов: при длительном существовании зубного камня происходит разрушение десневых тканей, что и приводит к образованию патологических карманов.
Зубной камень сам по себе проявляется только эстетическими нарушениями. Все остальное — симптомы сопутствующей патологии. Клиника нарушений будет усугубляться, если ничего не делать.
Осложнения нарушения
Последствия образования зубного камня у людей многочисленные и опасные. Можно выделить следующие потенциальные проблемы.
- гингивит, воспалительный процесс со стороны десен, проявляется отеком, покраснением и кровоточивостью десен, без достаточной коррекции быстро прогрессирует и вызывает заболевания более серьезного характера;
- пародонтит, в отсутствии своевременного и качественного лечения зубной камень способствует разрушению тканей, удерживающих зубы, происходит поражение пародонта по всей его толще, если и дальше игнорировать признаки, которые активно появляются, велика вероятность потерять зубы;
- пародонтоз, нарушения трофики тканей, питания и клеточного дыхания, провоцирует атрофические процессы, корни оголяются, зубы становятся чувствительными;
- неприятный запах изо рта, от которого очень непросто избавиться.
Также развивается психологический дискомфорт. Неприятный запах изо рта, воспаленные десны и нарушение эстетики улыбки почти всегда провоцируют стеснение, снижают уверенность в себе и создают барьеры в общении.
Проблема образования зубного камня не только функциональная, но и эстетическая. Наддесневой зубной налет формируется в том числе на внешних поверхностях зубов. Особенно часто в зоне улыбки. Если человек курит, употребляет спиртное, кофе — камень становится темным. Он в любом случае хорошо виден при улыбке. Это провоцирует выраженную эстетическую проблему. Больной стесняется улыбаться, старается меньше говорить.
Если зубной камень не лечить, не устранить — его становится только больше. Показана профессиональная помощь и коррекция под контролем врача-специалиста. По нашим оценкам, справиться с камнем даже при большом количестве твердых образований можно достаточно быстро. За один день. Достаточно 40-60 минут в кабинете врача-гигиениста. В процессе чистки пациент не ощущает ни боли ни какого-либо дискомфорта. Процедура хорошо переносится.

Диагностика образования твердых зубных отложений
Диагностика зубного камня проводится стоматологом. Обычно не занимает много времени. Основной метод — это визуальная оценка состояния зубов и десен. Используются и дополнительные меры. Среди методов диагностики:
- устный опрос и сбор анамнеза;
- визуальная оценка, стоматолог осматривает полость рта при помощи зеркала и зонда, наддесневой зубной камень легко обнаружить по характерному цвету и расположению, обычно у основания зубов, поддесневой камень куда менее заметен, но и его можно обнаружить при зондировании пародонтальных карманов;
- зондирование, проводится, чтобы оценить глубину десневых карманов, где часто скапливаются отложения;
- оценка сопутствующих патологий, чтобы выявить гингивит, пародонтит и прочие вторичные расстройства.
В сложных случаях или при подозрении на поддесневой камень проводят рентген. Методика позволяет визуализировать глубокие отложения, а также оценить состояние костной ткани. Точный перечень исследований определяет врач.
Лечение зубного камня
Говорить про лечение не совсем точно. Речь идет скорее про удаление зубного камня. Для этого применяются различные методы.
Методы удаления зубного камня
Существует несколько методов снятия зубного камня.
Ручной метод применяется относительно редко. Он предполагает использование стоматологических инструментов, таких как скейлеры и кюреты. Врач вручную удаляет зубной камень с поверхности зубов, аккуратно очищая труднодоступные участки. Этот метод подходит для удаления как наддесневого, так и поддесневого камня, особенно если отложения плотные и прочно закреплены. Основной плюс — высокая точность работы, особенно в зонах, где другие методы могут быть менее эффективны. Однако процедура требует времени и может быть менее комфортной для пациента по сравнению с аппаратными методами. Хотя результаты хорошие.
Ультразвуковой скейлинг или удаление ультразвуком — это современный метод устранения зубного камня, основанный на использовании ультразвуковых волн. Высокие частоты разрушают зубной камень. Врач применяет специальный наконечник, вибрация которого отслаивает камень от зубной поверхности, очищает ткани зуба. Ультразвуковой метод эффективен для удаления как наддесневого, так и поддесневого камня. Несомненный плюс — минимальная травматизация тканей. Дополнительно в ходе процедуры подается вода, охлаждающая зубы и смывающая остатки отложений. Метод быстрый и комфортный для пациента.
Пескоструйный метод, или Air Flow, заключается в подаче струи воды, воздуха и абразивного порошка (обычно на основе бикарбоната натрия) под высоким давлением. Эта смесь эффективно удаляет зубной камень, налет и пигментированные отложения с поверхности зубов. Метод подходит для удаления наддесневого камня и полировки зубов после ультразвуковой чистки. Пескоструйная обработка безопасна и комфортна, что делает ее популярной среди пациентов. Подходит и ребенку и взрослому. Однако для удаления твердого и застарелого камня не годится.
Химический метод основан на использовании специальных растворов и гелей, которые размягчают зубной камень, облегчают его последующее удаление. Обычно применяются средства на основе кислот или энзимов. Метод используется для удаления мелких и мягких отложений, но не подходит для плотного поддесневого камня. Химический способ минимально травматичен для тканей и применяется как дополнение к механической или ультразвуковой чистке. Однако из-за риска повреждения эмали или ожогов слизистых требует осторожности и контроля со стороны стоматолога.
Выбор способа остается за врачом. Нередко проводится комплексная чистка с применением группы процедур. Стоматолог решает, как убрать зубной камень без боли, дискомфорта и прочих проблем.
Прогноз и профилактика нарушения
При своевременном удалении зубного камня прогноз обычно благоприятный. Регулярное посещение стоматолога позволяет предотвратить развитие осложнений. Если твердые отложения остаются на зубах длительное время, могут развиться осложнения. Ранняя диагностика и профессиональная чистка помогают избежать серьезных последствий, сохранить здоровье полости рта.
Профилактика достаточно простая. Нужно соблюдать ряд простых правил, среди которых:
- рутинная, качественная гигиена полости рта;
- сбалансированное питание: употребление твердых овощей и фруктов, которые способствуют механической самостоятельной очистке зубов;
- ограничение потребления сахара и углеводов, провоцирующих рост бактерий;
- регулярные визиты к стоматологу: каждые 6 месяцев нужно проходить профгигиену;
- отказ от сигарет, алкоголя и избытка кофе;
- регулярная замена щетки, менять ее нужно раз или два раза в год.
Также рекомендуется адекватный питьевой режим. Конкретные меры профилактики зубного камня можно уточнить у врача.
Источники
- Терапевтическая стоматология: Учебник для студентов медицинских вузов / Под ред. Е. В. Боровского. — М.: ООО «Медицинское информационное агентство», 2011 — 840 с.: ил.
- Терапевтическая стоматология : учеб. пособие в 2 ч. для студ. 5-го курса стом. фак. Ч. 1 / А. Г. Третьякович [и др.] ; под. ред. А. Г. Третьяковича и Л. Г. Борисенко. – 2-е изд. – Минск: БГМУ, 2007 – 296 с.
- Хирургическая стоматология : учебник / В. В. Афанасьев [и др.] ; под общ. ред. В. В. Афанасьева. - 3-е изд., перераб. - М. : ГЭОТАР-Медиа, 2019 : ил.
- Бойченко О. Н., Котелевская Н. В.. Николишин А. К., Зайцев А. В. Анализ представлений о зубных отложениях. Вісник проблем біології і медицини. №3. 2017 г. 19-27 с.
- Полякова Р.В., Николаев Н.А., Недосеко В.Б. Элементный состав твердых зубных отложений у больных с соматической патологией. Эндодонтия Today. 2018;16(3):26-29.

Ответы на вопросы
Как выглядит зубной камень?
Зубной камень — это твердые отложения на зубах, обычно у основания десны. Он имеет шероховатую поверхность и может быть белым, желтым, коричневым или темным. Даже черным. Часто заметен в виде твердых наростов или полос в труднодоступных для чистки местах. Порой выделяется в межзубных промежутках, по линии перехода коронки в десну и т.д.
Как избавиться от зубного камня?
Удалить зубной камень можно у стоматолога. Основные методы — ультразвуковая чистка, ручное удаление, пескоструйная обработка или химический способ. Эти процедуры эффективно убирают отложения. Помогают предотвратить вред зубного камня.
Помогает ли зубная паста для удаления зубного камня?
Зубная паста не может удалить уже сформировавшийся зубной камень. Однако она помогает предотвратить его образование, удалить мягкий налет. Регулярная чистка с пастой важна для профилактики. Это профилактическая мера. Убрать зубной камень пастами не получится.
Можно ли снять зубной камень в домашних условиях?
Чистка зубного камня дома невозможна. Домашние методы, народные средства или абразивные пасты, могут повредить эмаль и десны. Станет только хуже. Только профессиональная чистка у стоматолога обеспечивает безопасное и полное удаление твердых отложений.
Заболевания по направлению Стоматолог
Лицензии

Мы осуществляем деятельность на основании медицинских лицензий в соответствии с рекомендациями Минздрава

















































