Периодонтит
Периодонтит — это острое или хроническое воспаление прикорневой области, тканей периодонта. Заболевание встречается очень часто. Как правило, это осложнение запущенного кариеса, осложненного пульпитом. С ним сталкивается едва ли не каждый второй пациент с воспалением нервно-сосудистого пучка и глубоким кариозным поражением. Раньше или позже.
Воспалительный процесс в области периодонта отличается бурной и яркой симптоматикой. Она усиливается по мере прогрессирования патологического процесса. Кроме того, болезнь очень опасна. Представляет угрозу для здоровья, а порой и для жизни пациента. Необходимо как можно более скорое лечение. Желательно сразу после появления первых симптомов патологического процесса.
Обследование и лечение периодонтита проводится под контролем стоматолога-хирурга, эндодонта. Показана коррекция инфекционного процесса.

Причины периодонтита
В основе периодонтита, поражения зуба лежит воспалительный процесс, который локализуется в прикорневой области. В структуре так называемого периодонта, которые располагается между цементом и костной тканью (альвеолой). Воспалительные явления в подавляющей части случаев носят инфекционный характер. Неинфекционные формы поражения бывают, но встречаются во много раз реже. Патологическое состояние встречается очень часто. Согласно нашим статистическим оценкам, периодонтит развивается у большинства людей с запущенным кариесом. Он составляет до 30% от общего числа обращений к врачу-стоматологу.
Определение причины важно для разработки мер лечения и вторичной профилактики. То есть профилактических мер, которые помогут предотвратить рецидив патологического процесса в будущем.
Непосредственные виновники заболевания
Заболевание, воспаление тканей около корня зуба развивается по нескольким непосредственным причинам.
В подавляющем большинстве случаев в основе патологического процесса лежит инфекционное поражение тканей. Развитие инфекции в области периодонта происходит несколькими путями. В основной массе случаев воспалительный процесс развивается при непосредственном проникновении бактериальных возбудителей через зуб. По пульпарной камере, через корневые каналы вниз, к верхушке корня. Инфицирование требует достаточного большого промежутка времени. При ослаблении местного или общего иммунитета процесс продвигается в разы быстрее.
Инфицирование возможно и иным путем — через окружающие ткани. Например, если пациент страдает рецидивирующими периоститами, флюсами. Или флюс развился впервые, но носит острый характер. Пациент не получает достаточного лечения или же оно проводится несвоевременно, слишком поздно. Сюда же, в эту группу внезубных причин инфицирования можно отнести пародонтит, остеомиелит и другие опасные патологические процессы.
Встречаются и иные, еще менее распространенные причины развития воспаления. Так, инфекция может проникнуть в ткани периодонта с током крови или лимфы. Гематогенным или лимфогенным путями соответственно. Однако, если верить нашим оценкам, это очень редкое явление. Преобладает оно у пациентов, которые страдают различными иммунодефицитами. На фоне ВИЧ, но не обязательно. Бывают и другие формы нарушений работы защитных сил организма.

Периодонтит развивается не только на фоне инфекций. Воспалительный процесс возможен по другим причинам:
- при травме зуба, особенно в области корня, развивается самостоятельная форма воспалительного процесса, обычно при жевании твердой пищи, склонность грызть разные предметы (ногти, карандаши, ручки);
- при оставлении лекарства в области корневого канала на слишком долгий срок, обычно в тех случаях, когда пациент по какой-либо причине не попадает к врачу в обозначенный срок;
- при применении некоторых лекарственных препаратов, например, нейролептики могут привести к воспалению периапикальной области и образованию абсцесса.
Определение точной причины возможно только при тщательном опросе, сборе анамнеза и инструментальной диагностике.
Патогенез расстройства
Патогенез развития зубной патологии у пациента зависит от характера и формы нарушения.
В типичных случаях, когда развивается инфекционный процесс, патогенез включает несколько звеньев или механизмов:
- поражение самого зуба, образование хронического, устойчивого инфекционного очага, обычно за воспаление периодонта отвечают стрептококки разных форм (гемолитические, зеленящие и прочие);
- движение инфекции по корневому каналу;
- выход в периапикальной, верхушечной области, инфицирование тканей вокруг;
- формирование гранулемы, а затем кисты с хронизацией патологического процесса, с этого момента периодонтит становится постоянным спутником человека, обостряется при первом удобном случае.
Травматические формы отличаются иным механизмом развития. Причина в нерациональном распределении нагрузки, чрезмерным давлении на корневую область. Воспаление становится ответом на избыток механического воздействия. Медикаментозные формы обусловлены токсическим действием препарата и его метаболитов на организм. Если говорить о лечении с применением препаратов для дезинфекции корневого канала, антисептиков — при длительном применении препарата наблюдаются токсические эффекты. В том числе и воспаление прикорневой области.
Знание сути и характера патологического процесса важно для врача и пациента. Стоматолог может подобрать оптимальное лечение, меры профилактики. Пациент знает, как действовать, как реагировать на симптомы, на что обратить внимание.
Факторы риска развития нарушения
Помимо непосредственных виновников патологии, есть еще и факторы риска развития патологического процесса. Они довольно многочисленные. Повышают вероятность периодонтального воспаления. Среди таковых:
- склонность грызть твердые предметы и использовать зубы не по назначению (откусывать нитки, открывать бутылки, упаковки);
- снижение местного, а также общего иммунитета;
- воспалительные процессы полости рта, высокий уровень обсеменения тканей ротовой полости бактериальными агентами, низкий уровень гигиены;
- несоблюдение гигиенических правил и принципов;
- запущенные формы кариеса;
- негативная наследственность;
- гормональный дисбаланс;
- пренебрежение профилактическими осмотрами у стоматолога;
- некачественное лечение у стоматолога;
- молодой или средний возраст, большинство случаев периодонтита приходится именно на эти периоды.
В большинстве своем подобные факторы хорошо поддаются коррекции. Самостоятельной или под контролем профильного специалиста.
Классификация периодонтита
Классификация патологического процесса проводится по нескольким основаниям.
В зависимости от точной причины, нарушение может быть:
- инфекционным (на эту форму приходится более 80% от общего числа клинических случаев);
- травматическим, развивается в ответ на повреждение зубов, корневых структур, тканей периодонта и пародонта, в том числе хроническое;
- лекарственный, обусловлен применением определенных препаратов;
- ятрогенный, обусловлен некачественным стоматологическим лечением.
Если говорить об инфекционном процессе, можно выделить два его подвида. Первый — это внутризубное поражение. Периодонтит развивается в ответ на кариес при его прогрессировании. Бывает внезубное происхождение периодонтита. Оно связано с поражениями пародонта, воспалением костной ткани и т.д.
Другой способ классифицировать патологию — использовать критерий течения. Периодонтит может быть острым. Острый периодонтит сопровождается яркой, неприятной клиникой, которую трудно спутать с клиникой какого-либо другого заболевания. Хронический периодонтит сопровождается вялым течением. Симптомов в период ремиссии (когда сходит обострение) почти нет. Когда нарушение обостряется клиника соответствует острой первичной форме нарушения.
Классифицировать нарушение можно по точной локализации воспалительного процесса. Периодонтит может быть:
- маргинальным, в таком случае воспаляется прикорневая связка;
- апикальным, воспаление развивается периапикально, то есть непосредственно в периодонте, его тканях около верхушки корня зуба.
Деление острого поражения проводится в зависимости от морфологических изменений со стороны тканей прикорневой области. Соответственно, периодонтит может быть:
- серозным, воспаление относительно легкое, происходит активное образование характерного экссудата, который выходит в окружающие ткани и приводит к отеку, гнойного компонента нет;
- гнойным, в этом случае часто развивается периапикальный абсцесс.
Хроническое поражение делится на несколько подвидов. Все так же — в зависимости от характера изменения тканей. Периодонтит хронического течения бывает:
- фиброзным — протекает относительно мягко, часто с длительными и качественными ремиссиями;
- гранулематозным, для него типично образование грануляционной ткани, которые инкапсулирует очаг инфекции (закрывает его от внешней среды, чтобы остановить прогрессирование воспаления);
- гранулирующим, протекает с частыми обострениями и в целом имеет менее благоприятные прогнозы по сравнению с прочими формами патологического процесса.
Большую роль играет классификация по стадиям развития патологического состояния. Выделяют такие фазы становления нарушения:
- первичное инфицирование тканей, симптомов пока нет, возможны незначительные местные признаки, но довольно редко;
- острый периодонтит, с характерной клиникой;
- затухание симптомов, переход нарушения в подострую фазу;
- хронизация периодонтита — если не было лечения;
- формирование гранулемы;
- формирование кисты.
Остановить прогрессирование патологического процесса можно на любой стадии заболевания. На любом этапе требуется качественное эндодонтическое лечение.
Симптомы периодонтита
Клиническая картина зависит от формы и стадии патологии. В целом, наибольшую роль играет течение нарушения, острое оно или хроническое.
Острый периодонтит
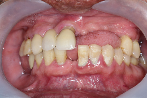
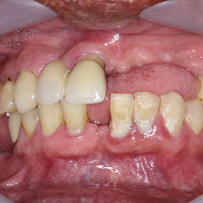
Острый воспалительный процесс в зоне около корня сложно с чем-то спутать. Симптомы периодонтита явные и характерные. Среди них:
- боль, болевой синдром интенсивный, сильный, дискомфорт усиливается при касании зуба, постукивании (перкуссии), накусывании, порой боль настолько сильная, что человек не может питаться;
- локальная отечность десны, при остром течении болезни десна становится одутловатым, нередко краснеет в проекции пораженного корня;
- ощущение онемения зуба, при этом болевая чувствительность никуда не девается;
- чувство, будто зуб стал длиннее и выбивается из ряда, на самом деле так и есть, из-за отека, выхода большого количества жидкости зуб действительно приподнимается в лунке и нарушает прикус;
- часто развиваются симптомы общей интоксикации: головная боль, слабость, повышение температуры тела.
При гнойном процессе в прикорневой области образуется абсцесс. Полость, заполненная гноем. Часто она опорожняется, вскрывается самостоятельно. Гной выходит через свищевой ход, который открывается на десне в проекции корня. Сначала абсцесс выглядит как шишка, затем происходит перфорация тканей. Образование дырчатого дефекта, откуда естественным образом выводится гной.
Периодонтит очень редко развивается без кариеса. В большинстве случаев даже при самостоятельном осмотре развивается крупная кариозная полость, которая сильно деформирует зуб. Но это необязательное условие. Бывает по-разному. Можно сказать так. Наличие большой полости и симптомов характерного плана почти гарантированно говорит о наличии периодонтита. В то время как отсутствие кариозной полости периодонтита не исключает.
Хронический периодонтит
Хроническое воспаление области периодонта часто характеризуется скудными признаками в период ремиссии или полным отсутствием клиники. Если симптомы есть, они минимальные. Это дискомфорт в области причинного зуба, неприятные ощущения при жевании и перкуссии. При обострении патологического процесса в полный рост встают те же признаки, что при первичном остром воспалении.
Спровоцировать повторное обострение могут очень многие явления. От респираторной инфекции и переохлаждения до жевания на пораженном зубе и стресса. Недопущение повторного воспаления — вопрос профилактики. Но долго такая ситуация все равно существовать не может. Показано лечение.
Осложнения патологического процесса
Апикальный или верхушечный периодонтит часто провоцирует опасные для здоровья и даже жизни осложнения. В большинстве своем речь идет о таких негативных последствиях:
- расшатывание и потеря зуба из-за разрушения соединительной ткани, которая удерживает единицу в нормальном положении;
- хронизация процесса, после чего периодонтит становится затяжным и с большой вероятностью заканчивается потерей причинного зуба;
- периостит или флюс, воспалительный процесс со стороны надкостницы, развивается как при остром течении, так и при хроническом, вялом воспалении тканей;
- остеомиелит, воспалительный процесс, который затрагивает костную ткань;
- флегмона околочелюстной области, сопровождается разлитым гнойным воспалением подкожно-жировой клетчатки;
- септические осложнения.
Осложнения развиваются в отсутствии лечения. Причем неожиданным образом спровоцировать опасные нарушения могут и хронические формы периодонтита. На фоне мнимого нормального состояния развивается флегмона, флюс или что-то иное. Потому периодонтит можно вполне заслуженно считать бомбой замедленного действия. Никогда не известно, в какой момент она взорвется. Но это непременно случится. Единственный способ не допустить проблем — своевременное лечение.
Диагностика периодонтита
Диагностика патологического процесса не представляет существенных трудностей. Поставить диагноз может стоматолог. Диагностические мероприятия включают следующее:
- устный опрос пациента, с него начинают прием, врач оценивает жалобы на здоровье, симптомы патологического процесса, фиксирует клиническую картину;
- сбор анамнеза, для определения вероятной причины патологического состояния;
- осмотр, визуальная оценка состояния полости рта, причинного зуба;
- рентгенографическое исследование, прицельный снимок, позволяет оценить как сам зуб, так и окружающие ткани;
- электроодонтометрия, для оценки состояния пульпы, мертва она или жива;
- перкуссионное исследование, специальные тесты.
Обычно этого достаточно. Дифференциальная диагностика периодонтита в основном проводится на фоне хронического течения расстройства, когда симптоматика скудная и неспецифическая. При остром течении все понятно.
Лечение периодонтита
Лечение периодонтита проводится сообразно ситуации. Оно может быть консервативным или оперативным.
Консервативное или эндодонтическое лечение периодонтита проводится при относительно нормальном состоянии зуба и периодонта. Обычно при остром течении патологического процесса, когда изменений в тканях еще нет. Или они не столь существенны. Терапия проводится в несколько стадий:
- высверливание тканей зуба, получение доступа к пульпарной камере, а также каналам;
- удаление нервно-сосудистого пучка, т.н. депульпирование зуба с применением специальных методов и инструментов;
- обработка корневых каналов, расширение, применением антибиотиков и антисептических препаратов;
- пломбирование каналов, чтобы обеспечить их герметичность и не допустить повторного развития инфекции, современная эндодонтия предполагает использование микроскопа и специальных инструментов, чтобы не пропустить ни миллиметра;
- реставрация зуба — восстановление коронковой части.
Лечение острого периодонтита проводится в 2-3 приема. При гнойном воспалении особенно. Полость высверливают, ставят дренаж, используют специальные обеззараживающие препараты. Только потом терапию продолжают.
Хронические формы заболевания протекают более агрессивно. Это касается и обострений патологического процесса. Особенность патологии в том, что она часто поражает ткани и вызывает из изменения. Нередко образуются гранулемы и крупные кисты. Лечение хронического периодонтита обычно оперативное, хирургическое. Когда зуб еще можно сохранить, проводится резекция верхушки корня или полное удаление корня. Однако это не гарантия клинического результата. Часто зуб сохранить невозможно. Тогда проводится удаление. После коррекции состояния лунки, устранения воспалительного процесса решают вопрос имплантации или иного протезирования.
Если воспаление обостряется, его корректируют тем же образом, поскольку изменения уже имеются. С поправкой на устранение острого состояния. Обостренный периодонтит лишает врачей многих инструментов влияния на болезнь. Сначала устраняют острое поражение, только потом проводится коррекция исходной причины. Хроническая форма патологии крайне сложна в плане лечения и имеет максимально серьезные прогнозы.
Как лечить периодонтит — решает врач-специалист в зависимости от формы, стадии патологии и прочих факторов.
Прогноз и профилактика периодонтита
Прогноз патологического процесса зависит от формы, стадии периодонтита, состояния зубов, полости рта в целом, момента обращения к врачу. При первичном остром течении, когда изменений как таковых еще нет, прогнозы максимально благоприятны. Заболевание можно полностью вылечить. Хронические, запущенные формы лечатся очень плохо. Никто не даст гарантий сохранения зуба даже при качественной всесторонней коррекции. А потому доводить до такого не стоит. Как только возникают первые подозрительные симптомы показано своевременное лечение.
Профилактика достаточно простая. Нужно придерживаться таких мер:
- тщательная и качественная гигиена полости рта;
- своевременное выявление и лечение кариозных поражений;
- качественное питание;
- отказ от вредных привычек;
- тщательный выбор клиники для лечения стоматологических болезней.
При развитии первых подозрительных симптомов нужно обращаться к врачу и без промедлений. Если заболевание находится на ранней стадии, оно хорошо поддается лечению. Можно предупредить развитие осложнений и дальнейшее прогрессирования воспаления.
Источники
- Терапевтическая стоматология: Учебник для студентов медицинских вузов / Под ред. Е. В. Боровского. — М.: ООО «Медицинское информационное агентство», 2011 — 840 с.: ил.
- Терапевтическая стоматология : учеб. пособие в 2 ч. для студ. 5-го курса стом. фак. Ч. 1 / А. Г. Третьякович [и др.] ; под. ред. А. Г. Третьяковича и Л. Г. Борисенко. – 2-е изд. – Минск: БГМУ, 2007 – 296 с.
- Хирургическая стоматология : учебник / В. В. Афанасьев [и др.] ; под общ. ред. В. В. Афанасьева. - 3-е изд., перераб. - М. : ГЭОТАР-Медиа, 2019 : ил.
- Хирургическая стоматология. Под ред. В. А. Дунаевского. М., «Медицина»» 1979, 472 с , ил.
- Периодонтит хронический. Клинические протоколы МЗ РК - 2015 (Казахстан).
- Герасимова Л., Алетдинова С. Диагностика и комплексное лечение хронического апикального периодонтита в стадии обострения. Эндодонтия Today. 2014;12(1):6-9.
- Терехов Н.Н., Шахманов Д.А., Рудь Н.И. и другие. Лечение острого верхушечного периодонтита. Вестник медицинского института «Реавиз»: реабилитация, врач и здоровье. №2. 2022 г. 326-327 с.

Ответы на вопросы
Как часто обостряется хронический периодонтит?
Обострения периодонтита при хроническом течении патологического процесса происходят регулярно. Насколько часто — зависит от ситуации. При гранулематозной форме — до раза в год или реже. То же самое касается фиброзной формы. За некоторыми исключениями. Гранулирующей обостряется несколько раз в год.
Можно ли сохранить зуб?
Если начать лечение вовремя, до того как нарушение вызовет осложнения и изменения в тканях — можно со стопроцентной гарантией. При хронизации и длительном течении — вопрос сложный. Вероятность зависит от степени выраженности изменений.
Сколько времени занимает лечение?
По предварительной оценке лечение периодонтита займет от 2 до 3 приемов. Но все сугубо индивидуально. Порой требуется больше времени. Порой чуть меньше. Точно можно сказать что простые формы острого воспаления без гнойного компонента лечатся быстрее гнойных и хронических.
Может ли периодонтит пройти сам?
Независимо от вида периодонтита, пройти сам он не может. Это невозможное явление. Он может несколько затихнуть. Но отсутствие симптомов на равно отсутствую болезни. Единственный способ коррекции — это профессиональная помощь врача.
Заболевания по направлению Стоматолог
Лицензии

Мы осуществляем деятельность на основании медицинских лицензий в соответствии с рекомендациями Минздрава














