Пульпит
Пульпит — это острое или хроническое воспаление тканей внутри зуба, так называемого нервно-сосудистого пучка. Он питает структуры единицы, обеспечивает адекватную защиту зуба от внешних раздражителей. Патологический процесс, как правило, выступает результатом запущенного кариеса. Заболевание очень серьезное. Без лечения быстро хронизируется, становится постоянным спутником пациента. Кроме того, вызывает многочисленные осложнения, в том числе периодонтит, который требует сложного, длительного и чаще всего дорогого лечения. Клиника неспецифическая. Обычно все ограничивается болью, из-за чего пациенты недооценивают сложность и опасность состояния. Показана профессиональная помощь.
Обследование пациентов, лечение пульпита — работа врача-стоматолога, эндодонта. Проводится консервативная или оперативная коррекция.

Причины пульпита
В основе заболевания лежит воспаление тканей пульпы. Нервно-сосудистого пучка, который представлен рыхлой соединительной тканью, сосудами и большим количеством нервов. Патологический процесс в большинстве своем инфекционный. Согласно множеству статистических оценок, пульпит составляет до 25% от общего количества причин обращения к врачу за помощью. Воспалительный процесс одинаково часто развивается у женщин и мужчин всех возрастов.
Примечательно, что пульпит может развиться и у детей. Молочные зубы также имеют нервно-сосудистые пучки, но по структуре они несколько отличаются. В них меньше нервов и кровеносных сосудов. Сама соединительная ткань более рыхлая, из-за чего активно инфицируется. Пульпит протекает более агрессивно и разрушительно. Вероятность потерять зуб выше. А это нежелательно, поскольку потеря зуба задолго до естественной смены может спровоцировать проблемы с постоянными зубами. Точно так же показано лечение. Без промедлений.
Непосредственные виновники болезни
Воспалительный процесс в пульпе зуба может быть инфекционным, механическим, термическим или химическим.
Инфекционно-воспалительный процесс встречается наиболее часто. Если верить нашим оценкам, примерно в 75-80% от общего количества клинических случаев. Патологическое состояние развивается из-за проникновения в крупную кариозную полость инфекционных агентов из полости рта. Наибольшую опасность несут такие условно-патогенные гноеродные микроорганизмы, как стрептококки и стафилококки. Спирохеты, актиномицеты также играют свою роль, но не такую существенную.
Механическое поражение развивается при травмах зуба. Ушибах, вывихах, переломах. Особенно в тех случаях, когда пациент не получает достаточного и своевременного лечения под контролем врача.
Термический фактор встречается еще реже. Речь идет о воздействии на зуб слишком горячего или холодного. Особенно часто патологическое состояние развивается при истончении эмали. Она призвана обеспечивать естественный барьер между внутренними структурами зуба и средой. При ослаблении эмали температурный раздражитель передается на пульпу. Возникает вторичный воспалительный процесс. Сначала неинфекционного характера. Потом инфекция вполне может присоединиться, что только усугубит течение болезни.
Химический фактор встречается при приеме некоторых препаратов, но в основном он носит ятрогенный характер. То есть связан с действиями врача-специалиста при лечении зубов. Например, если стоматолог оставит препарат на более долгий срок в кариозной полости, чем положено. Зубная пульпа, нерв и сосуды, очень чувствительна к химическому воздействию.
Определение причины очень важно. От нее зависит характер предстоящей терапии, сложность лечения. Также меры вторичной профилактики, чтобы не случилось рецидива. Повторного воспалительного процесса.
Патогенез пульпита
Причины пульпита носят различный характер. Если же говорить о механизмах, патогенез можно разделить на два основных пути формирования патологического процесса.
Первый, наиболее распространенный путь, инфекционный. Развитие болезни происходит в таком порядке:
- ослабление эмали;
- развитие наружного, поверхностного кариеса, который затрагивает только эмаль;
- развитие среднего кариеса с поражением дентина;
- развитие глубокого кариеса, в этот момент пульпарная камера открывается, внутренняя полость зуба сообщается со средой, полостью рта;
- проникновение инфекционных агентов, сначала очаговое;
- локальное воспаление определенной части пульпы;
- диффузное, то есть распространенное воспаление;
- развитие гнойного, некротического пульпита и смерть нервно-сосудистого пучка.
В дальнейшем развиваются осложнения.
Если же говорить о другой этиологии пульпита, возможны иные варианты. При травмах зуба механизм развития заболевания точно такой же. Происходит повреждение структур единицы. Пульпарная камера открывается на фоне не кариозного процесса, а мощного механического воздействия на зуб. Если виной всему химический фактор, воспаление носит вторичный характер. Все из-за воздействия токсичного химического вещества на нежную пульпу. Термическая форма воспаления характеризуется тем, что зуб в основном цел. Структурная целостность единицы обычно не нарушена. Страдает только эмаль. Воспаление носит рефлекторный характер в ответ на раздражение нервных тканей и сосудов, которые питают зуб. По нашим оценкам, способы лечения пульпита в разных случаях будут принципиально разными. Потому нужно знать не только о причинах развития заболевания, но и о патогенезе каждой из форм.

Факторы риска развития патологического процесса
Некоторые условия повышают вероятность развития пульпита. В их числе:
- наличие хронических заболеваний полости рта;
- общее негативное состояние гигиены ротовой полости, из-за обилия бактерий и высокого риска стремительного развития кариеса;
- глубокий кариес в анамнезе, пульпит может развиться в любой момент;
- гормональные нарушения естественного или патологического характера у пациента;
- заболевания пародонта и периодонта;
- наличие хронических очагов инфекции, больное горло как наиболее распространенный и опасный вариант.
Классификация, виды пульпита
В целом, пульпит делится по формам и стадиям. Во многом эти классификации пересекаются.
В глобальном отношении воспаление пульпы бывает острым и хроническим (если классифицировать заболевание по течению). У каждой из этих форм свои особенности в плане течения, способов лечения, прочего.
Острый пульпит сопровождается характерной, яркой клиникой, стремительным началом и достаточно агрессивным течением. Хотя не всегда. Есть боли, есть дискомфорт. Пульпит вполне можно спутать с более опасным периодонтитом. Требуется дифференциальная диагностика.
Хронический пульпит развивается, если пациент не получает лечения. Боль зачастую стихает. Дискомфорт ослабевает. Проявляются они время от времени, при жевании, перкуссии (постукивании по зубу). Если симптомов нет, говорят о периоде ремиссии. Как только они снова развиваются — об обострении пульпита. Обострения могут быть частыми. А при некоторых формах пульпита обострения становится постоянными. Продолжительность ремиссий, светлых промежутков крайне мала.
Разделить острый и хронический пульпит можно и более подробно. Обе разновидности имеют множество подвидов. И здесь можно говорить о классификации по стадиям.
- все начинается с острого очагового пульпита, воспаление затрагивает пульпу в области поражения ткани, очаг пока небольшой, при своевременном реагировании можно ограничиться консервативными мерами без депульпирования зуба;
- далее развивается острое диффузное поражение, как следует из названия — воспаление захватывает всю пульпу коронковой части зуба, часто вовлекается еще и корневая пульпа, та, что проходит в корневых каналах, симптомы пульпита становятся более интенсивными, продолжительными и сложными по структуре;
- далее нарушение хронизируется, складывается фиброзная форма соединительный компонент начинает разрастаться, пульпа давит на стенки зуба, из-за чего у больного развивается неприятное распирающее ощущение внутри проблемной единицы, сильной боли при этом виде пульпита обычно нет;
- наконец, начинается стадия гипертрофического поражения, такой пульпит сопровождается образованием молодой соединительной, т.н. грануляционной ткани, она призвана блокировать дальнейшее продвижение инфекции по тканям зуба.
Особняком стоит гангренозный пульпит. При этой форме происходит воспаление тканей пульпы с разрушением и нервов и сосудов. Присоединяется гнойный компонент. Расстройство выступает осложнением острого пульпита и требует срочного лечения. Потому как без терапии оно очень часто создает опасные проблемы.
Симптомы пульпита
Клиническая картина зависит от формы патологического процесса.
Острый пульпит
Острый воспалительный процесс сопровождается типичной симптоматикой. В числе проявлений заболевания:
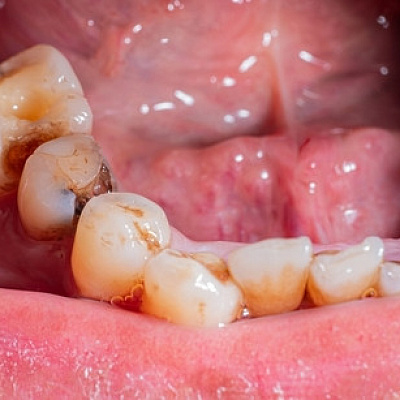
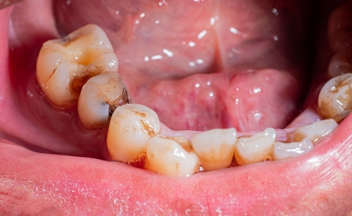
- видимая кариозная полость, пульпит редко развивается, если зуб не затронут кариесом, в основном виной всему микроорганизмы;
- боль, в период острого течения — сильная, выраженная, болезненные ощущения развиваются в любой момент, усиливаются в ночное время суток (потому, как кровь приливает к голове, к зубам, пульпа отекает и увеличивается в размерах, сильнее давит на внутренние структуры пораженной единицы), если нарушение носит гнойный характер — боль дергающая, пульсирующая и сверлящая;
- ощущение местного онемения тканей, при этом болевая чувствительность никуда не уходит;
- выделение гноя из кариозной полости (в некоторых случаях), говорит о гнойном поражении, отмирании тканей из-за воспаления и влияния разнообразных продуктов жизнедеятельности бактерий;
- неприятный запах изо рта, стойкий, с трудом поддается коррекции, требует профессионального лечения;
- покраснение десны вокруг причинного зуба;
- боль при накусывании, резко, взрывным образом усиливается, становится невыносимой;
- ощущение нестабильности зуба в ряду.
Возможны симптомы общей интоксикации организма: головная боль, повышение температуры тела и т. д. И это тревожный признак, так как он напрямую свидетельствует в пользу активного воспалительного процесса.
Хронический пульпит
Признаки такого пульпита несколько мягче, поскольку заболевание протекает в неактивной форме. Хронический пульпит приводит к пролиферативным изменениям, которые носят стойкий характер. Нарастает фиброзная, а затем грануляционная ткань. Область воспаления отграничивается от внешней среды. Потому воспалительный процесс несколько стихает, хотя полностью и не проходит.
В период ремиссии, то есть когда нет острого воспаления, клиника обычно смазанная. Боль носит ноющий, периодический характер. Попадание раздражители приводит сначала к тупой боли, затем к прострелу и усилению дискомфорта. Но как только раздражитель перестает влиять на зуб, симптом сходит на нет. При хроническом течении болезни часто развивается дискомфорт при жевании. Время от времени случаются обострения.
При развитии обострения клиника возвращается к той, которая была при первично остром воспалении. Снова боль, снова выраженный дискомфорт, особенно в ночное время.
Частота обострений зависит от формы воспалительного процесса. Порой обострение развивается раз в год, порой раз в несколько месяцев. При редких, запущенных случаях, обострения почти не проходят. Случаются чуть ли не каждый месяц. В среднем обострение пульпита длится от 1 до 3 недель и заканчивается переходом в ремиссию. Но это временное явление. Без лечения болезнь оставлять нельзя. В том числе из-за существенного риска опасных для здоровья и даже жизни осложнений.
Осложнения пульпита
Осложнения патологического процесса чаще всего развиваются, если пациент не получает адекватного лечения или вообще не лечит пульпит.
Первое и наиболее очевидное осложнение — это хронизация патологического процесса. К тому же быстрая. Нарушение становится постоянным спутником человека. Создает проблемы постоянно. Не говоря о риске более сложных и опасных осложнений.
Есть риск развития периодонтита В таком случае воспаляется связка зуба. Ткани, которые удерживают единицу в нормальном положении и располагаются возле корня. Это куда более тяжелый и сложный в плане терапии процесс. Периодонтит чреват гранулемами, образованием кист, флюсов и даже остеомиелита — острого гнойного воспаления костной ткани.
В основном при запущенном течении пульпита развивается именно это осложнение — поражение периодонта. Без достаточной коррекции есть реальная вероятность потерять зуб. Если же проводится лечение — оно долгое, сложное и дорогостоящее. Доводить до периодонтита категорически не рекомендуется.
Диагностика пульпита
Диагностика патологического процесса не представляет особых сложностей. Обследование включает группу способов и этапов, среди которых:
- устный опрос, нужен, чтобы выявить характерные жалобы, клинику пульпита у пациента;
- сбор анамнеза, оценка вероятной причины развития нарушения;
- осмотр, визуальная оценка состояния полости рта;
- перкуссионный тест, усиление боли при легком постукивании по зубу характерно для пульпита и поражения периодонта;
- прицельная рентгенография причинного зуба, для оценки состояния зуба, корня;
- ортопантомограмма или панорамный снимок, если нужно оценить состояния окружающих костей, мягких тканей;
- КТ, чтобы точнее определить тип, форму пульпита, вовремя выявить сложные аспекты заболевания;
- электроодонтометрия или ЭОМ — проводится для оценки сохранности пульпы, помогает определить врачу, жива ли она, насколько повреждена.
Для постановки диагноза проводятся и лабораторные тесты. Они нужны для определения виновника воспалительного процесса и влияния пульпита на весь организм пациента.
Большую роль играет дифференциальная диагностика пульпита. Показано отграничение патологического процесса от периодонтита, пародонтита, невралгии тройничного нерва и прочих нарушений со сходной клиникой. Разница между ними существенная, но характеризуются они практически одними и теми же симптомами. Это создает проблемы врачу. К счастью, существуют четкие методы и алгоритмы разграничения разных нарушений.
Лечение пульпита
Как лечат пульпит — зависит от клинического случая. Есть разные варианты коррекции патологического процесса.
Биологический метод лечения пульпита
Биологический метод основывается на возможности полного сохранения пульпы. Такое лечение проводится при очаговом пульпите, легких формах патологического процесса. Когда пульпу еще можно сохранить, не требуются депульпирование, сложные манипуляции.
Лечение проводится в таком порядке:
- диагностика, осмотр, оценка ситуации;
- местная анестезия;
- механическая обработка кариозной полости;
- обработка полости антисептиками, чтобы уничтожить инфекцию;
- наложение временной повязки, на чем и заканчивается первичный прием;
- через 5-7 дней проводится повторная оценка ситуации, если все в порядке — ставят постоянную пломбу, при деминерализации здоровых тканей зуба проводится реминерализация, чтобы восстановить барьерные функции эмали.
Биологическое лечение очагового пульпита дает хорошие результаты. Чаще всего применяется в молодом возрасте, когда нарушения носят относительно мягкий характер.
Витальный метод лечения пульпита
Витальный метод предполагает удаление пульпы. Полное или частичное. Подход включает в себя несколько вариантов.
При очаговом поражении в более тяжелой форме возможно проведение частичной ампутации пульпы. В этом случае проводится удаление только коронковой пульпы. Нервно-сосудистого пучка, который располагается в пульпарной камере. Корневую пульпу, в каналах, не трогают. Это хорошее решение, поскольку пальпа может постепенно нарасти. Она обладает выраженными регенеративными свойствами. Лечение проводится в два приема. Сначала обработка кариозной полости и удаление пульпы, затем, через 5-7 дней, установка постоянной пломбы, реставрация зуба.
При гнойном пульпите, запущенных формах патологического процесса, проводится удаление или экстирпация пульпы. Это метод полного депульпирования зуба. Как в коронковой части, так и в области корневых каналов. Пульпа удаляется с использованием специального экскаватора. Если какие-то сегменты нервно-сосудистого пучка еще живы, их разрушают (мышьяк больше не используют, применяют только безопасные и куда более эффективные средства). После — проводится восстановление зуба. Сначала под увеличением пломбируют каналы. Затем — реставрируют коронковую часть зуба.
Способ лечения зависит от характера патологического процесса, стадии болезни, сложности нарушения и прочих индивидуальных факторов.
Прогноз и профилактика заболевания
Прогноз определяется клиническим случаем. Очаговые. начальные формы пульпита при своевременной коррекции поддаются полному излечению. Зачастую нервно-сосудистый пучок можно не удалять. Проблема в том, что пациенты обращаются к врачу несвоевременно. При развитии осложнений прогноз куда более туманный. То же самое касается в целом запущенных стадий пульпита, они в отличие от начальных куда сложнее поддаются лечению, почему и следует относиться к проблеме серьезно. Есть реальная вероятность потери зуба, и это далеко не самое опасное из того, что может произойти.
Профилактика развития пульпита включает несколько мер:
- качественную гигиену полости рта;
- отказ от вредных привычек;
- своевременное лечение кариеса под контролем специалиста;
- профилактические и диагностические (при развитии подозрительных симптомов) осмотры;
- качественное питание;
- выбор грамотного стоматолога, клиники.
Если развиваются подозрительные симптомы: боли (даже такие, которые проходят самопроизвольно), дискомфорт и прочие — показана немедленная консультация врача.
Источники
- Терапевтическая стоматология: Учебник для студентов медицинских вузов / Под ред. Е. В. Боровского. — М.: ООО «Медицинское информационное агентство», 2011 — 840 с.: ил.
- Терапевтическая стоматология : учеб. пособие в 2 ч. для студ. 5-го курса стом. фак. Ч. 1 / А. Г. Третьякович [и др.] ; под. ред. А. Г. Третьяковича и Л. Г. Борисенко. – 2-е изд. – Минск: БГМУ, 2007 – 296 с.
- Хирургическая стоматология : учебник / В. В. Афанасьев [и др.] ; под общ. ред. В. В. Афанасьева. - 3-е изд., перераб. - М. : ГЭОТАР-Медиа, 2019 : ил.
- Лукиных Л.М., Шестопалова Л.В. Пульпит (Клиника, диагностика, лечение). 3-е издание. — Нижний Новгород: Изд-во НГМА, 2004. — 88 с.
- Брусницына Е.В., Барабанщикова Е.В., Закиров Т.В., Иощенко Е.С. Современные методы лечения пульпитов временных зубов: литературный обзор. Стоматология детского возраста и профилактика.2020;20(4):275-287.
- Никольская И.А. Современные принципы консервативного лечения пульпита. Вестник Российского университета дружбы народов. Серия: Медицина. №2. 2014 г. 83-88 с.

Ответы на вопросы
Больно ли лечить пульпит?
Нет. Пульпит, как и другие стоматологические заболевания, лечится под местной анестезией. Современные препараты для обезболивания исключают любой дискомфорт. Даже минимальный.
Чем отличается пульпит от периодонтита и кариеса?
Если говорить кратко, кариес — это основа и пульпита и периодонтита, их причина. Пульпит — следствие кариеса. А периодонтит — осложнение пульпита. Разница есть и с фактической точки зрения. Кариес представляет собой поражение твердых тканей зуба, пульпит — нервно-сосудистого пучка внутри зуба, периодонтит — прикорневых тканей, которые удерживают зуб. Так что разница существенная. Но все три патологии очень тесно связаны и вытекают одна из другой.
Может ли пульпит пройти сам?
Нет. Если зуб поражен пульпитом, воспаляется нервно-сосудистый пучок, показана профессиональная медицинская помощь. Симптомы могут стихнуть, но то, что спровоцировало патологический процесс никуда не уйдет. Так что ограничиваться полумерами и ждать, что случится, неправильно
Нужно ли идти к врачу, если боль прошла сама?
Да. Пульпит сам по себе выступает весомым основанием для консультации врача, обращения за медицинской помощью. Необходимо пройти исследования, дифференцировать причины болей. Далее врач назначит подходящее лечение.
Заболевания по направлению Стоматолог
Лицензии

Мы осуществляем деятельность на основании медицинских лицензий в соответствии с рекомендациями Минздрава
