Перикоронит (перикоронарит)
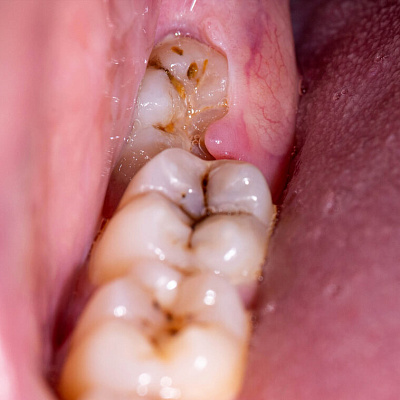
Перикоронит – это воспаление десневой ткани вокруг частично прорезавшегося зуба. Традиционно заболевание настигает в возрасте 20–29 лет – как раз в тот период, когда начинают расти зубы мудрости. Нижние «восьмерки» нередко выходят частично, упираются в десну, создавая тем самым условия для воспаления. Реже, но тоже бывает, что похожая проблема появляется при прорезывании рядом расположенного зуба – седьмого, особенно если ему не хватает места или он растет с отклонением.
Сначала кажется, что просто побаливает десна или что-то немного мешает, но очень быстро добавляются отек, боль при жевании, неприятный запах и ощущение, что рот открывается не так, как обычно. Лечат перикоронарит сразу несколько специалистов: стоматолог-терапевт снимает воспаление и боль, стоматолог-хирург решает, нужно ли рассекать десну или удалять зуб, ортодонт подключается, если причина в неправильном положении моляра.

Причины перикоронита
Этиология перикоронита обусловлена нарушением естественного процесса дентиции. Воспаление начинается в тот момент, когда зубу не хватает пространства для нормального выхода. Он вроде бы прорезался, но не до конца: часть коронки видна, а часть все еще прикрыта десной. Получается такой своеобразный «навес», под который легко попадает еда, слюна и бактерии.
Добавьте к этому жевательную нагрузку. Во время еды противоположный зуб постоянно травмирует эту зону – десна зажимается, натирается, микротрещины не успевают заживать. В итоге воспаление сначала «тлеет», а потом «разгорается».
Факторы риска
Есть ситуации, при которых перикоронит зуба мудрости или «семерки» возникает особенно охотно:
- зуб растет криво, под наклоном или упирается в соседний;
- места в челюсти изначально мало – «восьмерке» или «семерке» просто некуда расти;
- десна плотная, толстая и плохо поддается прорезыванию;
- зона вокруг зуба плохо очищается даже при старательной гигиене;
- вы часто болеете, много нервничаете или живете в режиме хронического стресса.
Патогенез перикоронита
Развивается патологический процесс линейно и вполне логично:
- Прорезывающийся зуб выходит не полностью.
- Над ним остается участок десны – тот самый капюшон.
- Под капюшоном скапливаются остатки еды, налет и бактерии.
- Вычистить эту зону полностью невозможно, даже если очень стараться.
- Микробы начинают активно размножаться, десна реагирует воспалением.
- Появляется отек – капюшон становится еще плотнее и травмируется сильнее.
- Каждое жевание поддерживает воспаление, усиливая боль и раздражение.
Классификация перикоронита
Чтобы понимать, с чем именно придется иметь дело, стоматологи выделяют следующие виды перикоронита. Систематизация проводится по нескольким основаниям.
По течению:
- острый перикоронит – когда все начинается резко и болезненно;
- хронический перикоронит – когда симптомы смазанные, но проблема никуда не девается.
По характеру воспаления:
- катаральную форму;
- язвенную;
- гнойную.
Классифицировать заболевание в этом случае крайне важно, поскольку от формы зависит не только самочувствие пациента, но и объем лечения – от консервативного до хирургического.
Симптомы перикоронита
Разновидность и интенсивность симптомов перикоронарита напрямую зависят от формы заболевания, поэтому важно понимать, как они проявляются, чтобы вовремя обратиться к стоматологу. Ниже рассмотрим основные клинические формы воспаления и характерные для них симптомы.
Катаральная перикоронит. Это самое начало. Обычно все выглядит довольно невинно. Пациент чувствует ноющую боль или дискомфорт в области зуба, особенно во время еды. Может появляться ощущение, будто что-то мешает или застревает. Десна слегка припухшая, чувствительная при нажатии. Рот открывается без проблем, общее состояние нормальное. Многие на этом этапе терпят и откладывают визит к врачу.
Язвенный перикоронит. Если воспаление идет дальше, ощущения становятся уже неприятными всерьез. Боль усиливается, появляется жжение, иногда даже в покое. Десна может выглядеть как будто разъеденной, с болезненными участками. Чистить зубы в этой зоне неприятно, иногда больно до гримасы. Запах изо рта становится заметным не только вам, но и окружающим.
Гнойный перикоронарит. При такой разновидности недуга уже сложно делать вид, что ничего страшного не происходит. Боль резкая, пульсирующая, может отдавать в ухо, висок или горло. Открыть рот трудно, жевать и глотать больно. Часто поднимается температура, появляется слабость. Из-под десны может выделяться гной, а лимфоузлы под челюстью увеличиваются и становятся болезненными.
Хроническое течение заболевания. Самый коварный вариант. Боль не резкая, а тянущая или периодическая: то проходит, то возвращается. Десна постоянно чуть отекшая, может кровить, почти всегда присутствует неприятный запах. Кажется, что можно потерпеть, но именно хроническая форма чаще всего обостряется и приводит к последствиям.
Осложнения перикоронита
Перикоронит – это тот случай, когда процесс лучше не пускать на самотек. Пока воспаление ограничивается десной, ситуация неприятная, но контролируемая. Если же затянуть, патология легко выходит за пределы одного зуба и начинает захватывать все вокруг.
Самое безобидное из осложнений – язвенный гингивит. В этом случае край десны покрывается болезненными язвами, которые плохо заживают и легко инфицируются. Есть и чистить зубы становится откровенно неприятно.
Дальше – серьезнее. Осложнять ситуацию может развитие глубокого инфекционного процесса, приводящего к таким последствиям:
- ретромолярному абсцессу – скоплению гноя за зубом;
- периоститу – воспалению надкостницы, которое многие знают как флюс;
- околочелюстной флегмоне – разлитому гнойному воспалению мягких тканей;
- остеомиелиту – поражению костной ткани челюсти.
Эти состояния уже отражаются не только на зубах, но и на общем самочувствии. Поднимается температура, появляется слабость, ломота, головная боль. Лицо может отекать и становиться асимметричным, рот открывается с трудом или вообще не открывается. В тяжелых случаях такие последствия могут быть опасны для жизни.
Диагностика перикоронита
Поставить точный диагноз самостоятельно невозможно. Можно заподозрить проблему, если появились такие симптомы перикоронарита, как боль боли, отек и неприятные ощущения, но понять форму и глубину процесса может только врач. В экстренных случаях – при высокой температуре, резкой боли, невозможности открыть рот – стоит обращаться за неотложной помощью. В большинстве ситуаций диагностика проводится амбулаторно, без госпитализации.
Диагностический протокол всегда начинается с обычного разговора и осмотра:
- врач уточняет, как давно появились симптомы, усиливаются ли они при пережевывании еды и глотании;
- спрашивает о температуре, слабости, ранее перенесенных эпизодах;
- осматривает рот, оценивает кондицию десны и наличие «кармана» (покраснения, отека и пр.);
- проводит пальпацию – аккуратно прощупывает ткани и проверяет, есть ли выделения;
- оценивает степень открывания рта и состояние лимфоузлов.
Лабораторные методики применяются не всегда, но могут понадобиться при выраженном воспалении:
- общий анализ крови для оценки активности воспалительного процесса;
- дополнительные исследования – по показаниям, если есть подозрение на осложнения.
Инструментальные методы применяются достаточно часто. Без углубленной визуализации не обойтись. Выполняют :
- прицельный рентген зуба;
- ортопантомограмму;
- компьютерную томографию челюсти – если нужно точно оценить положение зуба и состояние кости.
Эти методы позволяют понять, есть ли у зуба шанс нормально прорезаться или проблема будет возвращаться снова и снова.
Лечение перикоронита
Вылечить воспаление дома невозможно. Домашние меры могут лишь немного облегчить состояние, но не устранить причину. Основное лечение проводится амбулаторно у стоматолога. Стационар требуется редко – обычно при тяжелых осложнениях.
Консервативное лечение обычно применяют на ранних стадиях болезни или как подготовительный этап перед хирургией. Его задача – не вылечить навсегда, а снять острое воспаление и облегчить состояние.
В первую очередь врач аккуратно промывает зубодесневой карман антисептическими растворами. Это помогает убрать остатки пищи и снизить количество бактерий под капюшоном. Процедура не самая приятная, но быстрая и реально облегчает состояние уже после первого раза.
Дополнительно назначаются противовоспалительные средства, анальгетики – чтобы уменьшить отек, болевой синдром и неудобства при жевании и открывании рта. Если есть признаки бактериальной инфекции или вероятность осложнений, врач может подключить антибиотики.
Хорошо себя показывает и физиотерапия – например, лазер. Она помогает быстрее снять отек, уменьшить воспаление и снизить болевые ощущения, особенно если процесс затянулся.
Консервативное лечение перикоронарита облегчает состояние, но не всегда убирает саму причину. Поэтому его часто используют как временное решение или подготовку к следующему этапу.
Хирургическое лечение оправдано, если десневой капюшон воспаляется снова и снова, самый разумный шаг – его удаление. Иссечение капюшона при перикоронарите проводится под местным обезболиванием, занимает немного времени и обычно переносится спокойно. В результате удается убрать тот самый «карман», где постоянно скапливаются бактерии и запускается воспаление.
Удаление зуба мудрости рекомендуется в случаях, когда:
- зуб растет нефизиологично или под сильным наклоном;
- места для нормального роста объективно нет;
- перикоронарит возвращается регулярно, несмотря на лечение.
В таких ситуациях удаление – это не радикальная мера, а способ раз и навсегда закрыть вопрос. Зуб мудрости не участвует в жевании, зато способен доставлять массу проблем, поэтому иногда с ним проще и полезнее попрощаться.
После лечения важно соблюдать рекомендации врача, следить за гигиеной, приходить на контрольные осмотры. При удалении зуба стоит дать тканям спокойно зажить, не нагружая зону вмешательства.
Прогноз и профилактика
Прогноз в большинстве случаев благоприятный. При своевременном обращении к врачу воспаление удается быстро взять под контроль, снять боль и избежать осложнений. Особенно хорошо все складывается, когда проблема решается радикально – например, иссечением капюшона или удалением проблемного зуба. После этого воспаление, как правило, больше не возвращается.
Профилактика в этом случае не требует ничего освоенного и состоит из следующих пунктов:
- Регулярная гигиена, особенно в зоне прорезывания зубов мудрости. Добраться сюда щеткой сложно, но именно эти участки требуют повышенного внимания.
- Ирригатор, дополнительные насадки, аккуратные движения – все это снижает риск воспаления.
- Плановые осмотры у стоматолога. Даже если ничего не болит, врач может заметить, что зуб мудрости прорезывается проблемно, и предложить решение заранее, пока не начались жалобы на перикоронит. Это тот случай, когда профилактический визит экономит и нервы, и деньги.
- Контроль общего состояния здоровья. Снижение иммунитета, хронический стресс, частые простуды делают десну более уязвимой для инфекции. Поддержание нормального режима сна, питания и отдыха косвенно, но вполне ощутимо влияет и на состояние полости рта.
Если зуб мудрости уже начал прорезываться с проблемами, важно не надеяться, что проблема больше не повторится. В таких случаях лучше обсудить с врачом долгосрочную тактику – наблюдение, иссечение капюшона или экстракция зуба. Это помогает избежать повторных обострений и жить без постоянного ожидания новой боли.
В медицинских справочниках часто пишут: если развился катаральный перикоронарит зуба мудрости рано или поздно его придется удалять. На основании наших наблюдений, это далеко не всегда так. Часто проблема оказывается не в самом зубе, а в нависающем капюшоне десны и воспалении мягких тканей вокруг него.
Опираясь на наш опыт, можно эффективно решить проблему, просто устранив воспаленный капюшон и сняв отек. В таких случаях зуб мудрости нормально прорезывается и больше не беспокоит. Причем раннее и необоснованное удаление иногда лишь усложняет заживление и травмирует соседние ткани.
Кроме того, благодаря нашим знаниям, полученным на практике, мы убедились: рутинное назначение антибиотиков при легких формах заболевания почти не ускоряет выздоровление и часто маскирует симптомы. Намного эффективнее локально устранить источник воспаления и наблюдать пациента, чем сразу идти по радикальному пути.

Источники
- Шаргородский А. Г. Воспалительные заболевания тканей челюстно‑лицевой области и шеи : учеб. пособие / А. Г. Шаргородский. – Смоленск : Изд‑во, 2023. – 288 с.
- Ольга Л. Шнейдер, др. Воспалительные заболевания челюстно‑лицевой области. Современные особенности клинического течения, принципы диагностики и лечения / под общей ред. кафедры хирургической стоматологии и челюстно‑лицевой хирургии. – Екатеринбург : Изд‑во «Тираж» – Эдиторум, 2024. – 312 с.
- Милоро М., Гали Г. Е., Ларсен П. Е., Уайт П. (ред.) Peterson’s Principles of Oral and Maxillofacial Surgery / editors Michael Miloro, G. E. Ghali, Peter E. Larsen, Peter Waite. – Cham : Springer, 2022. – 2328 с.
- Balaji S. M. Textbook of Oral and Maxillofacial Surgery / S. M. Balaji. – 2‑е изд. – … : Elsevier, 2013. – 1024 с.
- А. А. Кабанова Челюстно‑лицевая хирургия и хирургическая стоматология. Карманный справочник / под ред. А. А. Кабанова. – … : Изд‑во, 2020. – 256 с/

Ответы на вопросы
Что нельзя делать после удаления капюшона зуба?
После того как стоматолог аккуратно убрал капюшон, кажется, что проблема решена, но на самом деле десна еще очень уязвима. Есть несколько вещей, которые категорически не стоит делать:
- Трогать лунку языком или пальцами. Это соблазн – пощупать, что там внутри, но так вы занесете микробы и спровоцируете воспаление.
- Жевать на той стороне жесткую, горячую или острую еду первые 1-2 дня. Даже маленький кусочек может травмировать свежую десну.
- Курить и не пить алкоголь. Никотин и спирт замедляют заживление и повышают риск нагноения.
- Использовать агрессивные полоскания и спиртовые растворы. Все, что раздражает слизистую, только мешает регенерации.
- Запускать зубную щетку прямо в лунку первые пару дней. Мягкая гигиена – да, активная чистка на месте операции – нет.
Что делать дома, как снять воспаление при перикороните зуба мудрости?
Если воспаление только начало свое развитие, а визит к врачу откладывается на день-два, есть несколько простых способов облегчить состояние дома:
- Теплые (не горячие) антисептические полоскания. Фурацилин, хлоргексидин или слабый раствор марганцовки – отлично промывают зубодесневой карман, вымывают остатки пищи и уменьшают количество бактерий.
- Обезболивание. Ибупрофен или парацетамол помогут снять резкую боль и отек.
- Мягкая гигиена. Чистите зубы аккуратно, не задевая воспаленный капюшон, можно использовать щетку с мягкой щетиной и ирригатор.
- Покой и питье. Избегайте чрезмерной нагрузки на воспаленную сторону, ешьте мягкую пищу, пейте больше воды.
Главное помнить: эти меры отвечают только за временное снятие симптомов и не заменяют визит к стоматологу. Они снимают боль, но не устраняют причину воспаления.
Может ли перикоронарит пройти самостоятельно?
В редких случаях легкая форма может успокоиться сама, особенно если зуб чуть прорезался, а капюшон ненадолго воспалился. Боль может снизиться, отек уменьшиться.
Поскольку проблема все же остается, капюшон создает «карман», где скапливаются остатки пищи и бактерии. Через время воспаление почти наверняка вернется – и чаще с более выраженной болью, иногда уже с осложнениями вроде абсцесса или поражения соседнего зуба.
Заболевания по направлению Стоматолог-ортодонт
Лицензии

Мы осуществляем деятельность на основании медицинских лицензий в соответствии с рекомендациями Минздрава




























































