Пневмоторакс
Пневмоторакс — это острое патологическое состояние, при котором в плевральной полости скапливается определенный объем воздуха. В норме быть его там не должно вообще. Организм поддерживает отрицательное давление в анатомическом сегменте. Благодаря чему легкие могут беспрепятственно расправляться на вдохе, затем сжиматься на выдохе. Обеспечивается газообмен. Все органы и ткани получают кислород для питания, выводят углекислый газ. Организм работает как часы. Ситуация меняется, когда воздушный поток поджимает главный орган системы дыхания. А вместе с ним и средостение, кровеносные сосуды. Такая свобода в изменении размера на каждом цикле исчезает. Появляется характерная симптоматика. Вплоть до того, что скопление большого объема газа приводит к жизнеугрожающему состоянию, когда без экстренной медицинской помощи не обойтись.
Обратиться стоит к хирургу. Он предпримет необходимые меры, даст человеку возможность снова дышать.

Причины пневмоторакса
Пневмоторакс легких — это не самостоятельная болезнь, а осложнение острых или хронических процессов органов дыхания и грудной клетки. Поэтому причин патологического состояния можно насчитать не меньше нескольких десятков.
Механические повреждения. Скапливается воздух в результате травматических процессов.
Могут быть открытыми, когда ранение грудной клетки и плевральной полости обусловлено внешним воздействием. Воздух проникает между листками плевры извне.
Есть закрытые повреждения — ребра ломаются, оставляют после себя острые осколки, которые прокалывают орган дыхания. Воздух через отверстие свободно поступает в полость.
Реже, но встречаются ятрогенные травмы. Врач делает пункцию при гидротораксе, ставит катетер в подключичную вену, блокадой лечит межреберную невралгию. При введении иглы делает отверстие в легком. Принцип тот же, воздух свободно проникает из одного сегмента в другой.
Вторую группу причин составляют хронические заболевания дыхательной системы.
У них также есть разделение на несколько подгрупп, в зависимости от того, какой из анатомических сегментов подвергся изменениям:
– болезни дыхательных путей (бронхиальная астма, хроническая обструктивная болезнь);
– поражения собственно интерстиция легочной ткани (эмфизема, саркоидоз, некоторые профессиональные заболевания респираторного тракта);
– инфекционные болезни (туберкулез, грибковые, паразитарные поражения);
– новообразования (доброкачественного или злокачественного происхождения).Каждый из патологических процессов повреждает паренхиму легкого, способствует ее разрыву. Воздушный поток свободно сообщается с пространством между листками плевры.
В отдельную группу этиологических факторов выделяют спонтанный пневмоторакс.
Болезней дыхательной системы нет. Травмы человек даже за последние дни в анамнезе не отмечает. Однако симптомы патологического состояния беспокоят довольно явно. При исследовании обнаруживается характерная рентгенологическая картина. Причина подобных изменений кроется в интенсивной физической нагрузке, курении (особенно в последние годы встречается свободный газ на фоне применения вейпов). Диагностируется болезнь у водолазов, пилотов или музыкантов на духовых инструментах.
- Нечасто, но периодически хирурги выявляют избыток воздушного объема на фоне хронических болезней соединительной ткани. Сюда стоит отнести ревматоидный артрит, системную склеродермию, полимиозит. Стенка альвеол прочностью не отличается. Фиброзные волокна абсолютно неэластичны. Ткань легко разрывается с формированием воздушных кист.
Факторы риска
Определенные триггеры играют не менее важную роль в развитии поражения, чем собственно причины. Более того, они и сами вполне себе запросто могут сформировать патологическое состояние.
К наиболее частым провокаторам врачи относят:
- никотиновую зависимость;
- профессиональные вредности;
- худощавость, высокий рост;
- мужской пол;
- низкую приверженность к лечению хронических заболеваний;
- асоциальный образ жизни (повышается риск травматизма);
- начало менструального цикла;
- ранее перенесенный пневмоторакс;
- сама необходимость выполнения инвазивных манипуляций значимо увеличивает риск патологии.
Патогенез пневмоторакса
Механизм развития пневмоторакса, на самом деле, несложный. Основывается он на анатомии самой плевры и возможности выполнения ею своей основной функции, дыхания.
Итак, плевра — это тонкий листок, серозная оболочка, которая отделяет легкие от остальной грудной клетки. Одна висцеральная, покрывает собственно орган. Другая париетальная, отграничивает его от окружающих тканей. Пространство между обоими листками называется плевральной полостью. В норме она замкнута, герметична. Воздуха в ней нет, но есть небольшое количество жидкости, обеспечивающее скольжение. Давление ниже атмосферного, что дает органу возможность свободно расправляться. Дыхание, газообмен не страдает.
На фоне травмы или хронических заболеваний часть вдыхаемого потока попадает в упомянутое пространство. Газ сдавливает легкие, тем самым уменьшает поверхность для газообмена. Смещает органы средостения, в том числе, сердце с крупными сосудами. Кислорода для жизнедеятельности и без того не хватает, так еще плюс сдавление провоцирует нарушение гемодинамики. Развивается клиническая картина. Пациенту срочно требуется медицинская помощь.
Классификация пневмоторакса
Факторов, обусловливающих течение, прогноз, изменения состояния пациента, довольно много. На основании каждого из них предложена своя систематизация пневмоторакса.
По причине специалисты выделяют:
- первичный спонтанный (без патологии органов дыхания);
- вторичный (развивается на фоне респираторной патологии);
- травматический.
По локализации существует несколько типов поражения:
- одностороннее (справа или слева);
- двустороннее.
В зависимости от объема воздуха:
- малый — орган спадается до 30%;
- большой — поджимается более, чем на ⅓;
- тотальный — выключено из дыхания не менее половины поверхности для газообмена;
- напряженный — определяется смещение средостения.
Одна из ключевых систематизаций разделяет состояние по сообщению с окружающей средой:
- Закрытый (сообщения нет, объем не увеличивается). Клиника зависит от площади поражения. Но однозначно стоит сказать, что это самый легкий вариант течения. Симптомы у взрослых при небольшой площади могут разрешаться даже самостоятельно.
- Открытый (есть проникающее ранение грудной клетки). Плевральная полость свободно сообщается с внешней средой. Давление между ними выравнивается, происходит коллапс легкого. Дыхание с одной стороны становится невозможно.
- Клапанный. Самый тяжелый вариант, при котором воздух проникает в пространство между листками, а обратно не выходит. Давление нарастает, развивается плевропульмональный шок. Состояние пациента критическое. Без немедленной медицинской помощи этот вариант течения заканчивается печально.
По наличию осложнений респираторное нарушение делят на следующие виды:
- неосложненное;
- осложненное.
В зависимости от кратности образования выделяют следующие виды пневмоторакса:
- первичный эпизод;
- рецидив.
Симптомы пневмоторакса
Клиническую картину сдавления главного дыхательного органа составляют всего три проявления: боль в грудной клетке, затруднение дыхания и ощущение нехватки воздуха. Но для каждой из перечисленных выше форм, в зависимости от степени поджатия легкого, механизма, выраженность симптомов у взрослого будет отличаться. Поэтому есть смысл рассмотреть клинику патологического состояния отдельно.
Закрытый пневмоторакс
Варианта течения этой формы сообщения три: острое, умеренное и скрытое.
Острое начало. После интенсивного провоцирующего фактора: физической нагрузки, кашля у пациента возникает резкая боль в области грудной клетки. Локализуется на стороне поражения, иррадиирует в верхний плечевой пояс. Интенсивность нарастает при глубоком вдохе, чихании. Стоит неудачно повернуться, как неприятные ощущения напомнят о себе с новой силой. Дальше с течением времени выраженность боли ослабевает. Характер сменяется на ноющий.
От начала пневмоторакса и с каждой минутой нарастает гипоксия. Беспокоит одышка, как будто что-то мешает вдохнуть полной грудью. Для достаточного насыщения кислородом вдохи приходится делать часто, но поверхностно. При значимом дефиците газа присоединяются признаки цианоза: бледность лица, синюшность носогубного треугольника.
Умеренный темп развития характеризуется приблизительно теми же симптомами, но выраженность гораздо меньше. Не так сильно беспокоит человека. Если к врачу он и обращается, то в плановом порядке.
И последний вариант, скрытое начало. Протекает эта форма абсолютно бессимптомно. Пациент даже не знает о скоплении воздуха. Обнаруживается ситуация при обследовании по поводу другой аномалии, или если человек профилактически проходит рентгенографию органов грудной клетки.
Открытый пневмоторакс
Открытое течение возможно только при травматическом повреждении. Когда есть рана, через которую плевральная полость может сообщаться с окружающей средой.
Состояние сопровождают следующие признаки:
- Резкая, очень сильная боль в грудной клетке на стороне поражения. Для того чтобы хоть немного ее облегчить, нужно принять вынужденное положение. Лечь на сторону травмы, крепко прижать руку к ране, дабы исключить патологическое сообщение.
- Одышка, затруднение дыхания. В основном из-за болевого синдрома. Глубоко вдохнуть не выходит, так как для этого нужна значимая экскурсия грудной клетки. Невооруженным глазом видно, что одна половина в цикле вдох-выдох вообще не участвует. Пациент дышит часто, поверхностно. Обмен газами нарушается. Развивается следующий симптом — гипоксемия.
- Гипоксемия. Кожа бледная, цвет лица с элементами цианоза. Беспокоит слабость, недомогание. Человек покрывается холодным, липким потом. Зачастую теряет сознание.
Хорошим диагностическим признаком именно проникающего ранения становится вспененная кровь, за счет содержания в ней пузырьков газа. При вдохе слышен характерный звук, как будто воздух всасывается в полость. Обнаружение таковых не заставляет сомневаться в диагнозе, объеме и скорости оказания медицинской помощи.
Клапанный пневмоторакс
Клапанный вариант течения самый опасный. Поступает воздух свободно, а вот с его выведением уже возникают проблемы. Мягкие ткани при наружной форме или лоскут самого легкого при внутренней работают как клапан. На выдохе закрывают раневой дефект. Весь скопившийся поток остается в грудной клетке. Давление, естественно, нарастает. Результат увеличения объема свободного газа кроется, во-первых, в поджатии легкого. Во-вторых, в смещении средостения в здоровую сторону. И в-третьих, в раздражении рецепторов плевры. Надо сказать, болевых импульсов здесь крайне много, поэтому увеличение пространства провоцирует плевропульмональный шок. Все это в довольно короткий срок нарушает гемодинамику, ведет к угнетению функции дыхания.
Состояние пациента крайне тяжелое. Сперва наступает этап возбуждения. Отмечается двигательное беспокойство, ощущение страха смерти, тахикардия. Дыхание частое, поверхностное. Боль в грудной клетке практически нестерпимая. Причем с каждым вдохом становится сильнее и сильнее.
Такое возбуждение длится недолго. Состояние пациента продолжает ухудшаться. Кожа цианотична. Воздуха в легких критично мало, сознание выключается. Но дыхание еще сохраняется. Поступающий поток воздуха заполняет все пространство между листками плевры, а также за ее пределами. Поступает в мягкие ткани средостения, распространяется под кожей. Определяется увеличение, крепитация грудной клетки, а затем и большей половины тела. В итоге, воздушная масса сдавливает все жизненно важные органы и ткани. Наступает клиническая смерть.
Осложнения пневмоторакса
Осложнения состояния исходят из самого механизма его развития. Как уже выше упоминалось, воздуха в плевральной полости быть не должно. Но он появляется, распределяется по организму. Развиваются осложнения. Причем встречаются они чуть ли не у половины всех случаев поражения.
К числу ранних последствий врачи относят:
- пио-, гемо-, гидропневмоторакс — состояние, при котором в пространство между листками прорывается гной, кровь и экссудат, соответственно;
- пневмомедиастинум — избыток воздушного объема накапливается в мягких тканях средостения;
- эмфизема мягких тканей по всему телу — газ накапливается в свободных пространствах под кожей.
Поздних осложнений меньше. Среди таковых:
- Плеврит и его осложнение — эмпиема плевры. В полости при несвоевременном лечении развивается воспалительный процесс, накапливается экссудат. При развитии бактериальной флоры последний нагнаивается. Нарастает общая интоксикация. Состояние пациента приближается к крайне тяжелому.
- Фиксированный коллапс легкого. Висцеральная плевра воспаляется, на ней откладывается налет фибрина. Перерождается в фиброзную ткань, что не дает органу заново расправиться.
Диагностика пневмоторакса
Скопление воздуха в пространстве между листками плевры чаще является острым состоянием. Пациент испытывает боль, дышать сложно. Медлить в таком состоянии не стоит. Нужно буквально сиюминутно вызвать бригаду скорой помощи. В ближайшее время добраться до больницы. Уже в учреждении здравоохранения помощь окажет хирург. Он осмотрит больного, проведет аускультацию, оценит признаки пневмоторакса перкуторно, измерит пульс, артериальное давление. При необходимости предложит дополнительное обследование.
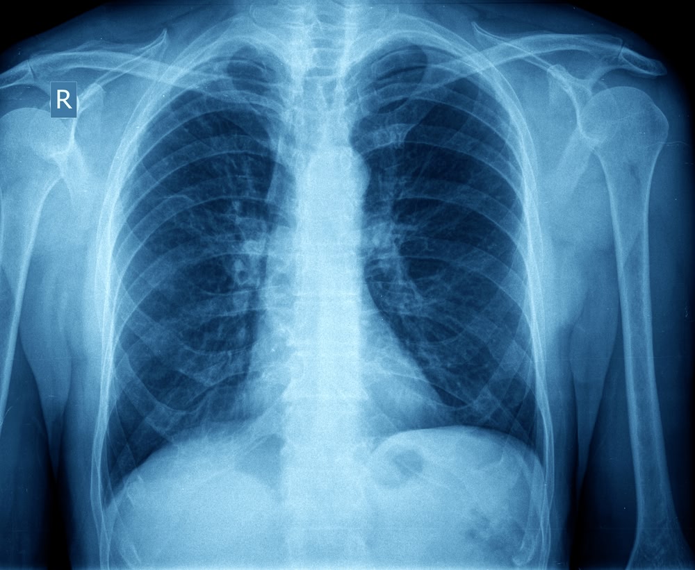
Золотым стандартом диагностики по клиническим рекомендациям является рентгенография органов грудной клетки. Отсутствие легочного рисунка, четкий край спавшейся анатомической структуры позволяет точно выставить диагноз. Определить тактику лечения.
Лечение пневмоторакса
Лечение патологии проводится строго в стационаре. Врач госпитализирует пациента в торакальное отделение или, за неимением такового, в хирургическое. В срочном порядке начинает терапию. Как нетрудно догадаться, для каждой из форм такая будет отличаться.
Закрытый пневмоторакс
Проще всего устранить закрытую форму. Врач предлагает пациенту прилечь на спину. Во второе межреберье вводит местный анальгетик. Делает небольшой разрез, после чего, в него же, устанавливает специальный дренаж по Бюллау. С другой стороны подключает его к аппарату для активной аспирации или помещает другой конец в воду. Подобное устройство позволяет вывести из пространства между листками плевры свободный воздух, не дает попадать ему обратно внутрь. За пару дней патологическое состояние разрешается. Хирург делает рентген-контроль, убеждается в том, что газа в плевре больше нет. Удаляет дренаж и выписывает пациента на амбулаторный этап.
Основываясь на наших наблюдениях, столь инвазивное лечение закрытого пневмоторакса нужно далеко не всегда. Бывает даже, что не нужно ничего делать. При малых объемах поражения, если состояние не проявляет себя клинически, терапии не нужно. Пациент продолжает заниматься привычными делами. Газ рассасывается самостоятельно.
Или же, если клиника совсем незначительная, можно сделать пункцию плевральной полости. Вместо скальпеля и дренажа хирург вводит в пространство шприц, отсасывает воздух. Продолжает динамическое наблюдение. Если газовый состав в плевру не возвращается, лечение заканчивается.

Открытый пневмоторакс
Открытый вариант также успешно поддается терапии. Специалист проводит первичную хирургическую обработку раны. Ушивает ее, оставляя внутри все тот же дренаж по Бюллау. Еще несколько дней после вмешательства пациент остается в стационаре. Хирург периодически повторяет рентген-снимки. Как и в случае с закрытой формой, при устранении воздуха снимает трубку. Выписывает на амбулаторное лечение.
Клапанный пневмоторакс
Клапанный тип патологии нужно перевести в закрытый. Еще на догоспитальном этапе медики дренируют полость, ограничивают дальнейшее поступление воздуха. Только в таком виде транспортируют в стационар для дальнейшего лечения.
Уже в клинике хирург оценивает общее состояние пациента. Проводит первичную хирургическую обработку раны, корректирует нарушение дыхания и гемодинамики. Предлагает оперативное вмешательство по закрытию дефекта. Мягкие ткани ушиваются. При ранении легкого проводится резекция. Одновременно возможна хирургия основного респираторного заболевания.
Первая помощь при пневмотораксе
Во многом исход лечения острого респираторного нарушения зависит от того, насколько правильно пациенту будет оказана первая доврачебная помощь. Основные ее тезисы в интернете найти несложно. Главное вовремя и пошагово предпринимать меры, дабы сохранить жизнь пострадавшего.
- Первый этап — вызвать скорую помощь. Нужно детально описать состояние больного человека для того, чтобы диспетчер смог оценить, насколько экстренно требуется медицинская помощь.
- Открыть окно, расстегнуть ворот рубашки, снять шарф. Освободить дыхательные пути, дать доступ к свежему воздуху.
- Разговаривать с человеком, успокаивать его. Беспокойство, паника лишь усугубят симптомы, поэтому данный фактор стоит постараться минимизировать.
Если пневмоторакс открытый, на груди есть зияющая рана, потребуется окклюзивная повязка. Подойдет для этой цели любой целлофан, полиэтиленовый пакет. Фиксируется обычным скотчем, клейкой лентой. Даже такое на первый взгляд несуразное приспособление ограничивает попадание объема воздуха в грудную клетку. Помогает стабилизировать пострадавшего до прибытия БСМП.
Прогноз и профилактика
Прогноз относительно благоприятный. В большинстве случаев пациенту удается быстро оказать медицинскую помощь. Добиться полного выздоровления. Прогностически хуже лишь клапанный пневмоторакс, но по сравнению с остальными, встречается таковой относительно редко.
Предотвратить даже самый простую в течение патологию плевры все равно легче, чем ее лечить. Исходя из этого, специалистами разработано несколько правил профилактики:
- отказ от курения;
- лечение хронических заболеваний органов дыхания;
- избежание травматизма;
- достаточная физическая активность;
- регулярные осмотры у врача с целью диспансеризации.
Источники
- М.И. Кузин, О.С. Шкроб, П.С. Ветшев, Н.Н. Крылов, М.А. Чистова, Л.В. Успенский, А.М. Кулакова, Л.В. Чистов, Е.Г. Артюхина, «Хирургические болезни», 2002.
- П.К. Яблонский, М.А. Атюков, А.С. Петров, Г.М. Агафонов, «Спонтанный пневмоторакс».
- А.М. Хаджибаев, Р.О. Рахманов, Б.И. Шукуров, Ф.Б. Шокиров, «Лечебно-диагностический протокол при спонтанном пневмотораксе», 2013.

Ответы на вопросы
Чем опасен пневмоторакс?
Состояние влечет опасность возникновения как ранних осложнений, вплоть до жизнеугрожающих, так и отдаленных последствий. В острый период воздух может распространиться под кожу, сдавить средостение, органы сердечно-сосудистой системы, нарушить гемодинамику. Результатом нарушения могут быть воспалительные изменения. Они также способны быстро ухудшить состояние человека, привести к поражению других органов.
Нужна ли реабилитация после пневмоторакса?
Да, нужна. Еще пару месяцев после патологии пациенту нужно будет ограничить физическую нагрузку, исключить перепады давления в виде взлетов и погружения под воду. Выполнять показанную врачом дыхательную гимнастику. Естественно, не обойдется без сопутствующей терапии причины болезни. Придется бросить курить, начать заниматься своим здоровьем: проходить обследование и лечение респираторных заболеваний.
Может ли быть рецидив?
Да, возможен. Особенно если провоцирующие факторы не устранены. Пациент продолжает страдать от патологии органов дыхания, не проходит лечение, или часто летает на самолете, погружается под воду, курит. Работа органов дыхания, как и прежде, нарушена. Скопление воздуха вне легких вполне себе возможно.
Что такое химический плевродез?
Химический плевродез — это относительно старый метод лечения пневмоторакса, суть которого заключается во введении в плевру склерозирующих веществ. Последние развивают гранулематозное воспаление. Париетальный и висцеральный листок склеиваются между собой. Проблема разрешается.
Но применяется такой метод редко. Только при условии, что другое лечение невозможно, ввиду сопутствующих аномалий, возраста человека.
Лицензии

Мы осуществляем деятельность на основании медицинских лицензий в соответствии с рекомендациями Минздрава






























