Гипоплазия эмали
Гипоплазия эмали — это стоматологическая проблема, которая сопровождается истончением эмали или ее полным отсутствием. Патологическое состояния может быть врожденным или приобретенным. Врожденные формы встречаются существенно чаще, потому с нарушением встречаются преимущественно дети. Но возможны варианты, когда страдают подростки. Расстройство приводит к нарушению эстетики зубного ряда, функциональным проблемам различного характера. Зубы становятся хрупкими, быстро поражаются кариесом. Пациентам требуется профессиональное лечение под контролем врача-стоматолога.
При грамотной коррекции можно минимизировать воздействие расстройства на организм. Но медлить точно не стоит: самостоятельно гипоплазия не пройдет.

Причины гипоплазии эмали
Гипоплазия эмали представляет собой недоразвитие твердого наружного слоя зубов, который представлен прочным слоем обезыствленных клеток. В основе развития лежат различные факторы врожденного и приобретенного характера. Патологическое состояние чаще всего носит врожденный характер. Обусловлено особенностями внутриутробного периода, развития плода. Согласно статистике, врожденные формы гипоплазии, которые поражают молочные зубы, встречаются в 90% случаев (от общего числа клинических ситуаций). В целом же с заболеванием сталкивается до 40-50% от общего числа детей. Подростков в статистике заболеваемости меньше, около 10-12% в общей популяции.
Непосредственные причины патологического состояния
Формирование патологии наиболее часто происходит под влиянием внутриутробных факторов. Таких, которые воздействуют на ребенка во время развития. Среди них можно выделить:
- тяжелые формы токсикоза, и чем тяжелее протекает начальная фаза гестации, тем выше вероятность развития стоматологических проблем у ребенка после появления на свет;
- резус-конфликт, происходит при наличии резус-фактора у плода и его отсутствии у матери, такие аутоиммунные конфликты часто заканчиваются различными дефектами развития у ребенка;
- инфекционные процессы, перенесенные во время беременности, особенно опасны поражения герпесом, а также краснухой, корью и некоторыми другими инфекциями;
- применение некоторых препаратов во время беременности, опасны в частности гормональные средства;
- генетические аномалии, хромосомные заболевания, если у ребенка развиваются синдром Дауна, Марфана — велика вероятность параллельного течения стоматологических проблем различного характера;
- применение антибиотиков, в частности тетрациклина, который несет наибольшую опасность.
Врожденные формы гипоплазии однако не единственный возможный вариант. Примерно в 10% случаев расстройство носит приобретенный характер. Часто развивается все так же, в детстве. Но возможно проявление в подростковые годы. Тогда провокаторами патологических процессов становятся такие факторы и причины:
- родовые травмы;
- тяжелые заболевания полости рта в период до смены зубов (например, запущенный кариес: пострадать может и зачаток постоянного зуба);
- применение антибиотиков, тетрациклина: он влияет не только на плод, но и на человека, который уже появился на свет;
- дефицит витамина D, из-за неспособности к обновлению зубной эмали;
- чрезмерно количество витамина D в организме, дефект также проявляется, но уже по другой причине: эмаль становится хрупкой и быстро стирается, что также можно считать вариантом гипоплазии;
- перенесенная химиотерапия, препараты для химиолечения подавляют регенеративные процессы, в том числе и процессы обновления зубов;
- гормональный дисбаланс, может быть как непосредственной причиной, так и фактором повышенного риска заболевания у человека.
Различные связанные факторы в большинстве своем могут быть скорректированы. В рамках профилактики, первичной или вторичной.
Патогенез расстройства
Есть три основных механизма развития патологического процесса.
Первый — ранняя гибель, несостоятельность клеток-амелобластов. Они отвечают за формирование эмали на этапе закладывания зачатка. При их гибели зуб просто не покрывается эмалью или процесс отложения кальциевых солей не заканчивается в той мере, какая требуется для формирования прочного наружного слоя зуба.
Второй механизм — дефицит клеток-одонтобластов. Почти всегда сопровождается недостаточной функций амелобластов. В результате не формируется не только эмаль, но и твердые структуры зуба — дентин, что еще хуже.
Третий механизм — нарушение процесса минерализации. Это характерно уже для приобретенных форм развития патологического процесса. Наблюдается недостаточное отложение солей кальция на уже готовую основу в виде белковой матрицы, которая формируется из специальных клеток.
Этиология гипоплазии эмали различна. Но все описанные варианты — не более, чем теории происхождения патологии. Точные причины патологического процесса, отсутствия достаточного слоя эмали пока неизвестны. Исследования продолжаются.
Факторы риска гипоплазии эмали
Факторы риска создают повышенную вероятность развития патологического процесса у детей и подростков. Среди факторов, которые встречаются в качестве виновников вероятной врожденной аномалии:
- недоношенность, у детей, которые появились раньше положенного срока вероятность развития гипоплазии в несколько раз выше;
- тяжелое течение беременности у матери;
- тяжелые роды;
- искусственное вскармливание ребенка как основе питания (когда ребенок получает исключительно смесь);
- травмы челюстно-лицевой области.
Если говорить о факторах риска развития приобретенного патологического состояния у детей и подростков:
- курение (в период подростковых лет, никотин влияет на зачатки постоянных зубов);
- потребление спиртных напитков (подростковый алкоголизм — существенная проблема);
- потребление наркотиков;
- выраженные гормональные перестройки, эндокринные заболевания в анамнезе;
- некачественное, недостаточное питание и скудный рацион;
- кариес в анамнезе, создает риски для постоянных зубов.
Требуется разработка мер рациональной профилактики. Каждый из факторов повышает риск на 10-15%.
Классификация гипоплазии эмали
Классификация гипоплазии зубной эмали проводится по нескольким основаниям. Разделить патологическое состояние можно по тому, какие именно зубы поражены.
Чаще всего встречается гипоплазия молочных зубов. На ее долю приходится более 60% от общего числа клинических случаев. Возникает она при большинстве описанных изменений. В подавляющей части случаев — из-за тяжелого течения беременности и инфекционных процессов, которые перенесла будущая мать.
Гипоплазия постоянных зубов встречается намного реже. В основном диагностируется уже при смене зубов на постоянные. Предпосылки для нее закладываются в первые 9-12 месяцев жизни. Встречается существенно реже. В основном у пациентов, которые перенесли тяжелые заболеваний инфекционного или обменного характера. Реже у больных с эндокринной патологией, заболеваниями пищеварительного тракта.
Часто помимо описанного способа классификации используется деление по количеству пораженных зубов. Согласно нашим оценкам, в 30-40% случаев у пациентов развивается системная гипоплазия эмали. Она сопровождается поражением сразу всех зубов. Эмаль или развивается неполностью или не развивается вообще. Такая разновидность наиболее тяжелая. Патологическое состояние сопровождается быстрым разрушением твердых тканей зуба с перспективами их потери. Затрагивает как временные, так и постоянные зубы.
Очаговая или местная гипоплазия эмали встречается достаточно редко. При ней поражение затрагивает лишь несколько зубов. Обычно один или два. На фоне инструментального повреждения зачатка, кариозного поражения или иных патологических состояний, медицинских воздействий. Также возможно влияние травм. Подход к лечению разных форм нарушения будет различным.

Есть и другие основания для классификации нарушения.
Формы гипоплазии эмали
Гипоплазия классифицируется в зависимости от типа изменений, характера недоразвития вещества эмали. В таком случае можно выделить такие формы гипоплазии эмали.
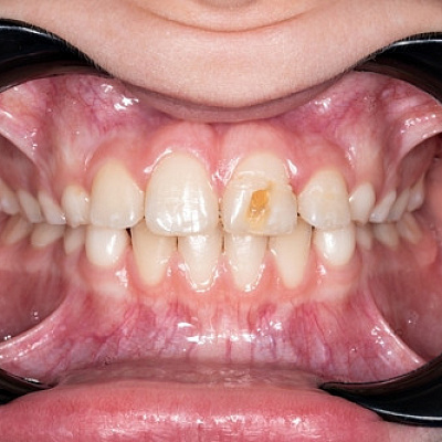
Пятнистая форма — сопровождается образованием симметричных пятен на поверхности эмали. Они имеют желтоватый или белый оттенок. Могут быть одиночными или множественными, в зависимости от тяжести ситуации. Обычно не доставляют существенного дискомфорта, хотя и выглядят неэстетично. Дефект обычно поверхностный, эмаль частично сохранена, как и ее функции.
Эрозивное поражение или чашеобразная гипоплазия сопровождается образованием очагов глубокой гипоплазии эмали. Образование эрозивного очага говорит о более запущенной форме патологии. Дефекты одиночные или множественные. Такая гипоплазия эмали прогрессирует быстрее и сопровождается более выраженной клиникой.
Бороздчатая гипоплазия сопровождается образованием глубоких линий, которые идут поперек зуба, параллельно режущим краям. Чаще всего патологическое состояние сопровождается выраженной чувствительностью, болезненными ощущениями. Гипоплазия эмали прогрессирует быстро.
Возможно проявление смешанных форм. В таком случае неполноценность зубов сопровождается сочетанием различных форм нарушения структуры эмали. Обычно это результат сложных метаболических расстройств. Комплексных проблем с обменом веществ.
Особняком стоит аплазия. Это состояние, когда зачаток зуба формируется лишь частично, неправильно. Эмаль отсутствует вообще. Помимо визуальной непривлекательности, зуб приобретает еще и явную функциональную недостаточность. Он недостаточно прочный, быстро рушится. Аплазия — самое тяжелое некариозное поражение из описанных.
Виды гипоплазии эмали
Виды гипоплазии делятся в зависимости от характера поражения зубов. В таком случае можно выделить:
- зубы Гетчинсона: поражение центральных зубов, резцов верхней или нижней челюстей, каждый зуб имеет коническую, неправильную форму, напоминает отвертку или долото;
- зубы Фурнье, в этом случае зубы приобретают утолщенную, бочкообразную форму с толстой шейкой и малым режущим краем.
Реже встречаются зубы Пфлюгера: затрагивают моляры. Зуб выглядит коническим. Приобретает неправильную форму. Коронковые части не могут выполнять свои функции, из-за чего жевание затруднено или невозможно.
Каждая разновидность развивается по многочисленным, часто не совсем непонятным причинам. Кроме прочего, можно выделить разные стадии недостаточного развития эмали зубов. После рождения, прорезывания зубов, поражение полости рта будет лишь усугубляться. Пока не станет критическим, когда сохранить пораженные единицы будет уже невозможно. Показано как можно более раннее начало лечения.
Симптомы гипоплазии эмали
Признаки гипоплазии эмали зависят от формы и стадии патологического состояния у пациента.
Мягче всего протекают пятнистые формы гипоплазии. Все остальные создают потенциальную угрозу здоровью временных и даже постоянных зубов с первых же моментов развития. С помощью, консультацией специалиста медлить нельзя.
Чаще всего у пациентов развиваются такие проблемы:
- боль: болезненные ощущения локализуются в области причинных зубов, усиливаются при жевании, прикосновении, воздействии холодного, горячего или сахара;
- повышение чувствительности зубов;
- изменение цвета зубов: с белого на желтый или же желтовато-коричневый, в зависимости от ситуации, что выглядит неэстетично;
- изменение формы и структуры зубов, они становятся овальными, округлыми или коническими, в зависимости от формы аномалии;
- образование четко выраженных визуальных дефектов: неправильной или правильной формы, часто с четкой границей (например, полоски на передней поверхности резцов);
- нарушения жевания.
Характер симптомов усугубляется по мере прогрессирования патологического процесса. При очаговой гипоплазии зубной эмали клиника затрагивает только пораженные единицы. При наличии пороков еще и твердых тканей зубов, дентина, наблюдается полная несостоятельность зубочелюстной системы пациента. Стандартные методы лечения не имеют смысла.
Осложнения патологии
Гипоплазия характеризуется большим количеством осложнений. Зубы, которые поражены, отличаются куда меньшей сопротивляемостью нагрузкам, факторам бактериального воздействия.
Даже при относительно мягком течении пациенты сталкиваются с повышенной и ранней стираемостью эмали. Патологическое состояние сопровождается разрушением наружного слоя зуба. В результате практически всегда серьезно нарушается прикус. Наблюдается дальнейшее прогрессирование нарушений зубочелюстной системы.
Поскольку эмаль слишком слабая и хрупкая, в первые же годы от прорезывания зубов развивается кариес. Прогрессирует он быстро, с разрушением коронки в разных местах. Пациент сталкивается с пульпитом и периодонтитом, которые опасны сами по себе. Еще один серьезный риск — это повышенная вероятность повреждения зачатков уже постоянных зубов. В таком случае проблема приобретает еще более глобальный характер.
Почти не миновать появления повышенной чувствительности зубов. Питаться становится сложно. Единицы, пораженный гипопластическим процессом, выглядят некрасиво и неэстетично. А потому у пациентов развиваются психологические проблемы: замкнутость, неуверенность в себе.
В части случаев развиваются расстройства речи. На фоне неправильного прикуса, потери части зубов. Это не такая редкая ситуация.
Диагностика гипоплазии эмали
Гипоплазия эмали зубов выявляется сравнительно просто. Для диагностики применяют группу методов:
- устный опрос, для определения жалоб и их характера, симптомов патологического состояния (также часто опрашивают родителей, поскольку ребенок не может точно сформулировать жалобы);
- сбор анамнеза для оценки вероятного происхождения патологии;
- визуальная оценка, осмотр состояния зубов, как правило, все понятно уже на этом этапе;
- рентгенографические исследования, если остаются вопросы относительно степени тяжести, выраженности патологического процесса.
Точный перечень диагностических мероприятий определяет врач. Поставить диагноз гипоплазии несложно. Для разработки оптимальной лечебной тактики этого, однако, недостаточно. Нужно понять, пострадали ли зачатки коренных зубов, насколько сильно. На каком участке возникли очаги гипоплазии, системный это процесс или очаговый. Работы много. Рекомендуется довериться врачу.
Дифференциальная диагностика гипоплазии эмали проводится, если остаются сомнения в характере расстройства. Основные заболевания, с которыми дифференцируют гипопластический процесс — это флюороз и кариес в стадии белого пятна. Подходы к терапии будут разными. Потому это важно.
Лечение гипоплазии эмали зубов
Лечение зависит от группы факторов. Основной — насколько поражен зуб, как глубоко уходи дефект эмали.
При образовании малочисленных дефектов в виде пятен, без симптомов и признаков прогрессирования — лечение обычно не требуется. Показано динамическое наблюдение за состоянием. То есть как нарушение ведет себя с течением времени.
В относительно легких случаях проводится реминерализация, показано фторирование. Этого достаточно для восстановления, восполнения врожденного дефекта. Но действовать нужно быстро, пока не развился кариес.
При глубоком дефекте, если появляется углубление, истончение эмали, но без признаков кариеса, проводится пломбирование специальными материалами. Это важно для герметизации зуба. Затем — реминерализация и фторирование.
Если кариес уже развился, сначала лечат его. Но проблема в том, что пломба в истощенном зубе держаться не будет. Особенно если задержка развития эмали выявления в молочной единице. Коренные зубы более плотные. Врач лечит пациента с учетом этих ограничений. Далее также проводятся процедуры по восполнению дефицита эмали.
При тяжелых формах поражения, когда кариеса нет, но слой эмали слишком тонкий и традиционные меры неэффективны, лечение гипоплазии зубной эмали проводится с применением виниров.
Виниры — это микропротезы. Тонкие пластины, которые позволяют закрыть переднюю поверхность зубов из зоны улыбки. Они выполняют функцию искусственной эмали, защиты зубов. Проблема в том, что методика не универсальна: позволяет закрыть лишь передние зубы. Но не жевательные. Для коррекции состояния жевательных зубов применяются коронки.
При образовании очагов периодонтита, поражения десен их нужно лечить отдельно. Гипоплазия эмали постоянных зубов требует несколько меньших мер коррекции из-за строения и прочности основы, твердых тканей. Но ситуация все равно сложная.
Прогноз и профилактика гипоплазии эмали
Прогноз зависит от типа патологического процесса, локализации и распространенности нарушения. Момента начала лечения и прочих факторов. В большинстве случаев если начать терапию как можно раньше прогнозы максимально благоприятные. Тем более, что современная стоматология обладает большим арсеналом методов коррекции. Хуже всего прогнозы, если закладка зубов происходит вообще без эмали. При аплазии есть риск потери всех зубов. В таком случае решить вопрос приходится методами протезирования в два и более этапа.
Профилактических мероприятий не разработано. Но можно дать общие рекомендации. Соблюдать их нужно матери:
- не курить;
- не принимать спиртное;
- рационально и разнообразно питаться;
- корректировать гормональный фон;
- избегать инфекций, а если они развились — сразу их лечить;
- избегать стрессов: предупреждение эмоционально-психических перегрузок очень важно;
- в достаточной мере отдыхать.
Если у ребенка развивается проблема — к врачу нужно обращаться немедленно. Запущенные формы гипоплазия эмали молочных зубов или постоянных единиц приводит к адентии. Восстановить зубы при их отсутствии можно, но это потребует куда больше усилий.
Источники
- Терапевтическая стоматология: Учебник для студентов медицинских вузов / Под ред. Е. В. Боровского. — М.: ООО «Медицинское информационное агентство», 2011 — 840 с.: ил.
- Терапевтическая стоматология : учеб. пособие в 2 ч. для студ. 5-го курса стом. фак. Ч. 1 / А. Г. Третьякович [и др.] ; под. ред. А. Г. Третьяковича и Л. Г. Борисенко. – 2-е изд. – Минск: БГМУ, 2007 – 296 с.
- Леонтьев В. К., Кисельникова Л. П. Детская терапевтическая стоматология. Национальное руководство. — М.: ГЭОТАР-Медиа, 2010. — 896 с.
- Велбери Р. Р., Даггал М. С., Хози М.-Т. Детская стоматология: руководство / пер. с англ.; под ред. Л. П. Кисельниковой. — М.: ГЭОТАР-Медиа, 2013. — 456 с.
- Гипоплазия эмали зубов. Клинические протоколы МЗ РК - 2016 (Казахстан).
- Ожгихина Н. В., Закиров Т. В., Кисельникова Л. П. Нуждаемость в лечении гипоплазии эмали первых постоянных моляров у детей. Стоматология детского возраста и профилактика.2019;19(4):26-30.
- Крихели Н.И., Бабин И.А., Дмитриева Н.Г. Чашеобразная форма гипоплазии эмали. Российская стоматология. 2011;4(2):45‑46.
- Крихели И.И. Стоматологический статус пациентов с гипоплазией эмали. Пермский медицинский журнал. №4. 2007 г. 115-118 с.

Ответы на вопросы
Как обычно выглядит гипоплазия, как ее распознать?
Есть разные виды гипоплазии — целая группа. В одних случаях это округлые пятна белесого цвета, в других — небольшие борозды. В третьих — это волнообразные линии и т. д. Порой внешне гипоплазию выдает лишь визуальное помутнение эмали. Точно сказать, что к чему, может только врач. Потому при любых подозрениях ребенка нужно показывать стоматологу.
Сколько времени требует лечение?
Сложно сказать. Приобретенные и врожденные формы гипоплазии эмали требуют тщательной диагностики и разработки индивидуальной программы коррекции. В среднем нужно ориентироваться на срок от нескольких недель до нескольких месяцев. Чем тяжелее ситуация — тем больше времени нужно.
Когда нужно удалять зубы?
В большинстве случаев нужды в удалении нет. Исключения составляют множественные кариозные поражения, очаговая гипоплазия эмали с тотальным разрушением тканей зубов, запущенная аплазия. Если зубы молочные — дожидаются их смены, спасают постоянные единицы. Если поражены уже постоянные зубы решают вопрос протезирования.
Можно ли полностью вылечить нарушение?
Чаще всего можно. Можно восстановить объем и прочность эмали. Или же закрыть зуб искусственным микропротезом. Добиться восстановления эстетики и функциональности. Варианты терапии подбирает врач. Гипоплазия эмали зубов у взрослых (подростков) и детей требует несколько разного подхода.
Заболевания по направлению Стоматолог
Лицензии

Мы осуществляем деятельность на основании медицинских лицензий в соответствии с рекомендациями Минздрава

















































