Гидроторакс легких
Гидроторакс – это особый клинический синдром, осложнение острых или хронических соматических болезней, суть которого заключается в появлении избытка жидкости в плевральной полости. В норме небольшое количество смазки всегда присутствует между висцеральным и париетальным листками плевры для обеспечения их скольжения во время вдоха и выдоха. Значительное превышение физиологической нормы приводит к выраженным нарушениям со стороны органа дыхания. Человек будет жаловаться на боль в груди, одышку, ощущение давления. Недостаток кислорода провоцирует утомляемость и усталость. Терпеть состояние не надо, пациенту следует как можно раньше обратиться к врачу.
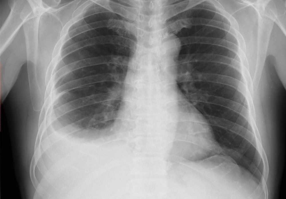
Первичной диагностикой занимается терапевт. Выявить состояние помогает простая рентгенография грудной клетки. Гораздо сложнее найти причину скопления жидкости. Для этого потребуется уже комплексное обследование организма. Лечение при малых объемах консервативное, большое поражение не обойдется без хирургического вмешательства.

Причины гидроторакса
Стоит отметить, что гидроторакс легких – это скопление жидкости невоспалительной этиологии. Прозрачной, без иммунных комплексов и огромного числа клеток, с низкой концентрацией белка. В практической медицине такую называют транссудатом. Кровь, гной и прочие биологические субстраты к определению «hydro» (вода) не применяются.
Ведущей причиной увеличения субстрата является кардиальная патология, болезни сердечно-сосудистой системы:
- хроническая недостаточность сердца;
- нарушение работы двустворчатого клапана;
- тромбоэмболия легочной артерии;
- констриктивный перикардит.
Немного реже в рамках этиологического фактора выступают заболевания почек:
- хроническая почечная недостаточность;
- нефротический синдром;
- гломерулонефрит;
- гипоальбуминемия.
Третья по распространенности причина – злокачественные болезни молочной железы, органов средостения. Они сдавливают венозные, лимфатические протоки, нарушают физиологический отток. В результате чего в плевральной полости скапливается транссудат.
Из оставшихся довольно редких этиологических факторов состояния врачи выделяют:
- цирроз печени;
- гипофункцию щитовидной железы;
- диализ через париетальный листок брюшины;
- сдавление верхней полой вены любой этиологии;
- применение некоторых лекарственных средств.
Факторы риска
Факторы риска для каждой из причин патологического состояния будут отличаться. То, что вызывает проблемы с сердцем, никак не скажется на печени. Раковые опухоли по триггерам отличаются от перитонеального диализа. Поэтому объединить провоцирующие моменты довольно сложно.
Из тех, что встречаются чаще остальных, стоит выделить:
- избыток массы тела;
- асоциальный образ жизни;
- преобладание в рационе жиров, быстроусвояемых углеводов;
- игнорирование регулярных медицинских осмотров, диспансеризации;
- применение лекарственных средств без назначения врача, учета их токсичности;
- отсутствие лечения сопутствующих хронических заболеваний.
Патогенез
Грудную клетку изнутри выстилает париетальный листок плевры, легочную ткань окутывает аналогичный висцеральный. Между ними – жидкость, вышеупомянутая смазка. Такая анатомия помогает легким свободно расправляться во время вдоха, в моменте выдоха сжиматься.
Дальше на плевральную полость действует любая из перечисленных причин клинического синдрома. Для каждой из них механизм будет отличаться:
- Проблемы с сердцем повышают давление в большом и малом круге кровообращения. Возникает венозный застой.
- Патологии почек снижают онкотическое давление плазмы. Жидкость выходит в межклеточные пространства, в том числе, в плевральную полость.
- Неоплазии, как выше упоминалось, провоцируют застой крови и лимфы путем сдавления протоков.
- Диализ через брюшину, асцит на фоне патологии печени становится причиной миграции объема из брюшной полости в грудную клетку. Также просачивается, попадает в пространство между листками плевры.
Как результат, транссудата становится больше, выводится он крайне плохо, накапливается в плевральной полости. Объем, который должны занимать легкие во время расправления на вдохе, отходит избытку патологического секрета. Пространство для газообмена значимо сокращается. Симптоматика болезни быстро себя проявит.
Классификация гидроторакса
Плевральный выпот, который собирается в полости, может быть воспалительной и невоспалительной природы. В первом варианте речь идет об экссудате. Болезнь называется экссудативный плеврит. Невоспалительный триггер, он же транссудат — это уже гидроторакс. Важно не путать эти 2 понятия, потому что и клиника, и тактика лечения будут совершенно разными.
Итак, виды гидроторакса по величине избытка субстрата:
- малый гидроторакс – поражает участок, где реберная часть париетальной плевры переходит в диафрагмальную;
- средний — захватывает пространство от угла лопатки до ее середины;
- большой гидроторакс – жидкость поднимается выше середины лопатки.
По расположению врачи выделяют:
- односторонний (правосторонний или левосторонний);
- двусторонний процесс.
В зависимости от вовлечения того или иного участка специалисты различают:
- осумкованный (есть тяжи фибрина, которые ограничивают распространение транссудата);
- частичный (вовлекает часть анатомического пространства);
- тотальный (распространяется на всю область).
Симптомы гидроторакса
Клиническую картину определяет, в первую очередь, степень гидроторакса. Малые объемы практически никак себя не проявляют. Пациент может даже не ощущать изменения в дыхании или списывать их на основное заболевание. Размер больше уже дает полноценную симптоматику, вплоть до того, что функция легкого при тотальном поражении выключается вовсе.
К основным признакам гидроторакса относятся:
- Одышка. Главный орган дыхания, где происходит весь газообмен, теряет способность полноценно насыщаться кислородом, выводить углекислый газ. А жизненно важного субстрата организму нужно не меньше. Органы и ткани также нуждаются в питании. Частота хоть и не полноценных вдохов-выдохов увеличивается. Чем больше поджато легкое, тем выше показатель.
- Цианоз. Дыхание поверхностное. Как бы больной ни старался обеспечить полноценный газообмен, кислорода в крови не хватает, сатурация падает. Типичным проявлением гипоксемии является синюшность кожного покрова. Первоначально в области носогубного треугольника, на лице. По мере прогрессирования болезни распространяется на другие участки тела.
- Дискомфорт, ощущение давления в груди. В легком нервных окончаний нет, зато в плевре их более чем достаточно. Раздражение таковых увеличенным объемом транссудата доставляет пациенту заметные неприятные ощущения.
- Кашель при гидротораксе возникает из-за раздражения плевры, сдавления легочной ткани. По характеру сухой, без мокроты. Назначение противокашлевых средств, учитывая продолжающееся воздействие на анатомическую область, оказывается неэффективным.
- Усталость, слабость, утомляемость беспокоят из-за того же нарушенного газообмена. Кислорода как основного субстрата для энергии не хватает. Заниматься привычными повседневными делами становится сложно.
Практика показала, что большинство из перечисленных выше причин гидроторакса — это хронические заболевания. То есть прогрессируют они медленно. Не одномоментно осложняются скоплением жидкости, а увеличивается объем постепенно. Клинически это значит, что симптомы сперва незначительные, по мере течения болезни нарастают.
Если пациент долгое время не обращается к специалистам, транссудат продолжает накапливаться, достигать внушительных размеров. В этом случае врачу остается только предложить хирургическую тактику. И, соответственно, наоборот, ранее обращение к кардиологу, нефрологу, онкологу позволит выявить плевральный выпот на ранней стадии. Разрешить его консервативно.

Осложнения
Хроническая сердечная недостаточность, болезни почек и рак с течением времени, изнашиванием организма имеют свойство прогрессировать. Единожды вылеченный гидроторакс непременно появится вновь. Транссудат по мере ухудшения системных функций продолжит накапливаться. Избежать последствий при таком стечении обстоятельств трудно.
Плевральный выпот невоспалительной этиологии может осложниться:
- дыхательной недостаточностью;
- коллапсом легкого;
- присоединением бактериальной инфекции: пневмония, эмпиема плевры;
- поражение сердечно-сосудистой системы: сбой ритма, ухудшение течения первичного поражения;
- смещение органов средостения в здоровую сторону с развитием жизнеугрожающих состояний.
Немалое число осложнений и их опасность в очередной раз показывают, как важно своевременно обращаться к врачу. Не игнорировать назначенное лечение.
Диагностика гидроторакса
При нарушении дыхания, появлении или усилении боли в груди, прогрессировании одышки пациенту нужно как можно раньше обратиться к терапевту. Первый осмотр, конечно, можно провести на дому, но в условиях клиники возможностей диагностики гораздо больше. Поэтому, если явных ограничений к посещению медицинского центра нет, терять время на домашний визит не стоит.
Обратиться лучше к специалисту, который лечит основную соматическую патологию: кардиологу, нефрологу, онкологу, или другому профильному врачу. Доктор после проведения первичного осмотра сможет понять, где искать причину возникших проявлений, оценить тяжесть состояния. Определит план диагностики.
Или, если возможности посетить лечащего врача нет, достаточно получить консультацию терапевта. Специалист изучит хронические заболевания, во время физикального осмотра оценит функцию органов дыхания. Предложит дообследование.
Согласно клиническим рекомендациям, диагностический поиск включает в себя:
- лабораторные тесты;
- пульсоксиметрию;
- УЗИ плевральной полости;
- рентгенографию легких;
- КТ грудной клетки.
Быстрое прогрессирование клинического синдрома обычно означает декомпенсацию основного заболевания. Поэтому наравне с выявлением жидкости в плевре врач назначает исследования для оценки функции пораженной системы органов. Собрав информацию от всех исследований, выставляет окончательный диагноз. Определяет метод лечения.
Лечение гидроторакса
Устранение избытка транссудата в плевре может быть консервативным и хирургическим. Препараты пациент принимает амбулаторно. Регулярно показывается врачу для оценки динамики рассасывания жидкости. Хирургическое же вмешательство требуется при больших объемах поражения или если нужен материал для исследования. Тогда пациент ложится в стационар, проходит терапию. С улучшением покидает медицинский центр. Путь разрешения осложнения в каждом случае врач определяет индивидуально.
Консервативное лечение
Медикаментозное лечение гидроторакса направлено на улучшение выведения лишней жидкости. Врач назначает лекарства для купирования основного заболевания: сердечные гликозиды, гепатопротекторы, гормоны при поражении щитовидной железы. И одновременно диуретики. По мере того как функция внутренних органов нормализуется, гидроторакс разрешается.
Хирургическое вмешательство
В рамках инвазивного лечения врач может предложить пациенту пункцию плевральной полости при гидротораксе или полноценную операцию. Первый из перечисленных вариантов применяется в разы чаще.
Суть торакоцентеза заключается в удалении избытка транссудата. Хирург обрабатывает кожу в месте будущего прокола растворами антисептиков, вводит местный анестетик. И затем, в этот же участок, устанавливает иглу, присоединенную к аппарату для создания отрицательного давления. Убедившись в попадании в плевральную полость, хирург включает устройство, отсасывает содержимое.
За одну манипуляцию специалист может удалить только 500 мл транссудата. Если такового больше, процедуру придется повторить, так как однократный большой объем способен вызвать опасные для жизни осложнения. Или есть второй вариант: врач на несколько дней оставляет дренажную трубку. После разрешения осложнения извлекает медицинское изделие. Ушивает рану.
Пункция является не только лечебной, но и диагностической процедурой. Получившийся субстрат, особенно если он скопился впервые, подлежит исследованию. Хирург направляет его на изучение клеточного состава, биохимии, иммуноцитогистохимии. Получив результат, понимает, в чем причина клинического синдрома, и как ее лечить.
Радикальная помощь при гидротораксе применяется при частых рецидивах состояния. Вариантами хирургического лечения является рассечение спаек и плевродез.
Рассечение спаек. Случается так, что возобновляются именно осумкованные скопления субстрата. Тогда врачу под контролем УЗИ или рентгена нужно делать сразу несколько проколов, устанавливать несколько дренажей для отведения избытка из каждого отдельного участка. Вариант решения проблемы — рассечение спаек путем торакоскопии. Хирург вводит эндоскопическое оборудование, разрушает тяжи фибрина. Если гидроторакс снова и возникнет, то убрать лишнее количество можно будет через один прокол.
Плевродез. Это метод радикального лечения, который заключается в склеивании листков плевры. Применяется он нечасто, только если невоспалительный выпот накапливается очень быстро и в больших количествах, хирургу приходится каждую неделю выполнять торакоцентез. Путем физического, химического или комбинированного воздействия париетальный и висцеральный листок спаиваются. Пространство для накопления транссудата исчезает, гидроторакс не рецидивирует.
Прогноз при гидротораксе, профилактика
Исход основной патологии предугадать невозможно. Определяет его слишком много индивидуальных у каждого человека факторов. Можно добиться стабилизации процесса или выйти на группу инвалидности. В последнем варианте гидроторакс в той или иной степени будет рецидивировать. Но исход его всегда благоприятный. Врач назначает лечение, дренирует плевральную полость. Осложнение разрешается.
Профилактика гидроторакса заключается в регулярном наблюдении у врача, прохождении назначенных обследований. Даже если ничего не беспокоит, обязательно принимать лекарственные средства, соблюдать правила для предотвращения рецидива. Таким образом удается не допустить накопление субстрата или купировать последствие без инвазивных вмешательств.
Источники
- А.Г. Чучалин, «Пульмонология», 2018.
- Российское респираторное общество, Ассоциация торакальных хирургов России, Российское научное медицинское общество терапевтов. Клинические рекомендации. Плевральный выпот. 2025.
- А.Г. Чучалин, Я.Н. Шойхет, Е.А. Цеймах. «Плевральный выпот», 2024.

Ответы на вопросы
Чем опасен гидроторакс?
Опасность заключается в том, что он поджимает легкое. Жидкость занимает объем, который в норме предназначен для органа дыхания в момент вдоха. Альвеолы не могут достаточно расправиться, интенсивность обмена между кислородом и углекислым газом нарушается. Развиваются осложнения в виде острой, хронической дыхательной недостаточности, цианоза, сердечно-сосудистых нарушений.
Правда, что гидроторакс может быть осложнением гормональной стимуляции перед ЭКО?
Да, правда. Плевральный выпот в этом случае является частью синдрома гиперстимуляции яичников. Врач неправильно подбирает гормональные средства или организм не так, как нужно на них реагирует. В результате сильно повышается проницаемость кровеносных сосудов, жидкая часть крови выходит в полости и ткани организма. Чаще в брюшную полость, формируется асцит. Но при массивном поражении затрагивается плевра, развивается гидроторакс.
При каком объеме транссудата нужен торакоцентез?
Однозначной цифры, значения нет. Для выбора тактики лечения, консервативного или хирургического, нужно оценить сразу несколько факторов: вероятность разрешения на фоне назначения медикаментов, общее состояние больного, выраженность симптоматики, неясная этиология. Специалист изучает каждый из перечисленных аспектов. Предлагает оптимальный вариант лечения.
Как отличить гидроторакс от экссудативного плеврита?
Основное отличие гидроторакса от экссудативного плеврита — это характер выпота. В первом из перечисленных случаев скапливается невоспалительный транссудат, во втором — воспалительный экссудат. Лучше всего отличить один от другого помогает пункция. Врач берет образец биологического материала, направляет его на исследование. В зависимости от характера клеток выставляет диагноз, назначает пациенту лечение.
Заболевания по направлению Терапевт
Популярные статьи

Лицензии

Мы осуществляем деятельность на основании медицинских лицензий в соответствии с рекомендациями Минздрава







































































