Инфильтративный туберкулез легких
Инфильтративный туберкулез легких – это особая форма инфекционного заболевания органов дыхания, суть которой заключается в образовании отдельных друг от друга экссудативно-казеозных очагов. По данным статистики, этот вариант течения встречается чаще всего. Приблизительно 60-70% из всех выявленных случаев. Но регистрируется процесс не первично, а только после перенесенного туберкулезного процесса. Как результат, в легком появляются полости, клинически себя проявляют.
Некоторые инфильтраты протекают бессимптомно, стерто. Другие начинаются с температуры 38-39, общей интоксикации. Любой из них, даже с незначительными проявлениями, требует консультации терапевта. Врач проводит рентгенологическое обследование, направляет пациента к фтизиатру, где больной и проходит терапию.

Причины и предрасполагающие факторы инфильтративного туберкулеза легких
Первопричиной любой формы туберкулеза является микобактерия. Или, в честь ее основателя, палочка Коха. Описана таковая была еще в 1882 году. За несколько веков сильно претерпела изменения, но основы жизнедеятельности остались.
Паразит представляет собой небольшую палочку, диаметром до 0.5 мкм. С хорошей защитой в виде четырехслойной оболочки. Он легко переносит высокие и низкие температуры, неплохо выживает во внешней среде. Не берет его ни высокая влажность, ни, наоборот, высыхание. Выживает при физическом и химическом воздействии. Единственное, к чему чувствительна бацилла – это к ультрафиолету. Всего 10-15 минут и от микроорганизма не останется и следа.
Неблагоприятное для человека свойство микобактерии – ее способность переходить в L-формы, спящие. Даже после комплексного лечения такие остаются в организме, оседают в лёгких, в лимфатических узлах. Стоит организму дать слабину, как МБТ тут же напомнят о себе. Станут причиной нового заражения. Таким образом и реализуется основной путь заражения именно инфильтративной формой, эндогенный. Распространяются палочки Коха лимфогенным путем, из внутригрудных лимфоузлов, бронхогенным, через бронхиальные пути. И совсем редко, но регистрируется гематогенный вариант, из тех же оставшихся спящих форм.
Второй путь заражения – экзогенный. Здоровый человек контактирует с больным, бактерия попадает по дыхательным путям в легкие, формируются инфильтраты. Но тоже не все так однозначно. Поражаются только те участки, которые ранее были вовлечены в туберкулезный процесс. То есть человек ранее заражался микобактерией. Переносил болезнь, проходил лечение. Но остался очаг гиперсенсибилизации, повышенной аллергической предрасположенности. Палочка Коха в него повторно попадает, туберкулез развивается снова.
Предрасполагают к инфильтративной форме туберкулеза легких следующие триггеры:
- сахарный диабет;
- иммунодефициты различной этиологии;
- алкогольная, наркотическая зависимость;
- асоциальный образ жизни;
- сопутствующие болезни легочной ткани;
- недостаток питания;
- нахождение в скученных помещениях (тюрьмы, пансионаты, интернаты);
- психоэмоциональные нарушения;
- гормональный дисбаланс.
Патогенез инфильтративного туберкулеза легких
Механизм развития патологии легких начинается со снижения иммунитета. Под действием любого из перечисленных факторов экзогенно или эндогенно в легкие попадают микроорганизмы, начинают усиленно размножаться. Естественно, иммунная система активизирует механизмы борьбы. На участках паренхимы формируется воспалительный процесс. Заключается он в образовании особенных именно для этой формы экссудативно-казеозных очагов.
Под действием макрофагов, нейтрофилов, лимфоцитов и прочих звеньев защитных сил организма повышается проницаемость сосудов. Жидкая часть крови выходит в окружающее пространство, пропитывает ткань легких воспалительным экссудатом. Быстро, практически одновременно, в центре такого поражения появляется казеозный некроз.
Исхода из него может быть два. Один неблагоприятный, прогрессирование. Казеоз преобладает над экссудацией, развивается пневмония. И второй с более положительным течением: пациент откашливает микобактерии. На месте казеозного очага остается каверна, которая постепенно зарастает фиброзной тканью.
Классификация
Основную систематизацию поражения определяет реакция иммунной системы на внедрение патогенов и собственно их активность. Сочетание этих 2 моментов обуславливает, насколько большой участок органа окажется вовлечен в процесс. Соответственно, как болезнь будет себя проявлять. Так, специалисты выделяют:
- бронхолобулярную (выходит за пределы всего одной дольки);
- округлую (занимает весь сегмент);
- облаковидную форму (поражает несколько сегментов);
- краевую (вовлекает себя междолевую плевру);
- лобит (распространяется на всю долю).
В зависимости от размера инфильтрата:
- малый (до 20 мм);
- средний (с 21 до 40 мм);
- крупный (от 41 до 60 мм);
- распространенные (свыше 6 см).
По наличию выделения палочек Коха во внешнюю среду:
- с бактериовыделением;
- без него.
В зависимости от устойчивости к препаратам:
- чувствительный;
- устойчивый.
Фазы инфильтративного туберкулеза легких
Что касается этапов развития заболевания, врачи различают:
- Инфильтративный туберкулез легких в фазе обсеменения. Означает прогрессирование процесса. Рядом с одним очагом появляется еще нескольких мелких, микобактерии распространяются по всему органу дыхания. Если сперва это была, условно, округлая форма, то затем, в обсеменение, процесс может достигнуть лобита.
- Инфильтративный туберкулез легких в фазе распада. Для этой стадии характерно разрушение полости казеозного некроза. Основную часть микобактерий пациент откашливает, но немалая доля и остаётся. Палочка Коха способна проникнуть в лимфатическую систему или бронхогенным путем распространиться на соседние участки легкого.
Симптомы инфильтративного туберкулеза легких
У каждой из форм заболевания течение, симптоматика будет своя. Иногда ее может и вовсе не появиться. По статистике, остро дебютирует только 20%, у 50-60% больных начало постепенное. Для активно выраженной клиники поражение легких должно быть достаточно большим. Как, например, при облаковидном варианте, лобите.
Пациент будет жаловаться на повышенную температуру тела, слабость, недомогание, усталость, озноб. Не получается выспаться, не хочется есть. Из респираторных явлений появляется кашель, возможно, даже с прожилками крови. При вовлечении в патологический процесс плевры к остальным симптомам у взрослых добавляется боль в груди на стороне поражения. По характеру острая, колющая, усиливается при движении, глубоком вдохе и кашле.
Оставшиеся 20% случаев протекают бессимптомно. Туберкулез у них обнаруживается во время плановых медицинских осмотров или обследовании по поводу других патологий.
Осложнения
Игнорирование симптомов болезни, пусть даже они незначительные, ни к чему хорошему не приведет. Микобактерии быстро захватывают весь организм, последствий долго ждать не придется. Некоторые из них и вовсе становятся жизнеугрожающими. При отсутствии своевременного адекватного лечения наиболее частые последствия:
- незначительное кровохарканье, как первый симптом, легко прогрессирует в легочное кровотечение;
- у ослабленных пациентов болезнь прогрессирует в казеозную пневмонию;
- спонтанный пневмоторакс на фоне туберкулезного процесса поджимает легкое, резко ограничивает участок для газообмена.
Инфекция может распространяться по всему организму, поражать внутригрудные лимфоузлы, мочеполовую, нервную систему, кости, головной мозг. По сути, любые органы и ткани. Приводить к общей интоксикации, а затем и к печальным последствиям.
Диагностика инфильтративного туберкулеза легких
Диагностика болезни сложна даже для опытного врача. Описываемые пациентом симптомы можно подвести под несколько десятков разных заболеваний. И у каждого из них будет свой способ выявления, разные методы лечения. Поэтому начинать обследоваться лучше сразу в клинике. Дома возможности у врача очень ограничены.
Начинается диагностический поиск с беседы терапевта и пациента, с осмотра. Врач спрашивает, что беспокоит, как давно. Было ли развитие со временем. Дальше осматривает человека: слышит хрипы при аускультации, определяет тупой перкуторный звук при простукивании грудной клетки.
Следующий этап диагностики – лабораторные тесты. Крайне важно исследовать анализ мокроты. Обнаружение в ней микобактерий позволяет без сомнений выставить диагноз туберкулез, понять, к чему чувствителен конкретный штамм выделенных паразитов.
Согласно клиническим рекомендациям другие исследования (кровь, моча, тиреотропный гормон) – также назначаются в целях определения тактики лечения и предотвращения развития неблагоприятных побочных реакций.
Абсолютно не всегда у больного туберкулезом, даже в инфильтративной стадии, будет бактериовыделение. Поэтому отсутствие микроорганизмов в мокроте не позволяет врачу исключить диагноз. Напротив, невыявление бацилл при бактериоскопии – повод для более детального обследования. В том числе, инвазивного, на предмет инфильтративного туберкулеза.
Особое внимание в диагностике инфекции стоит уделить туберкулиновым пробам. Это реакция Манту, Диаскинтест и квантифероновый тест. Первая из перечисленных содержит только инактивированные, нежизнеспособные бактерии, что сильно снижает ее специфичность. Нередко встречаются ложноотрицательные и ложноположительные результаты. Диаскин и квантифероновый тест более точны и специфичны к МБТ.
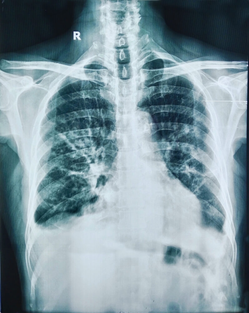
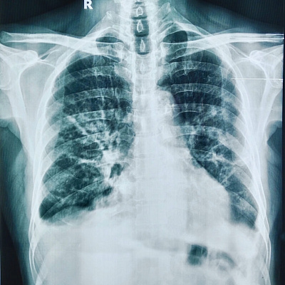
Увидев изменения в лабораторных данных, получив положительные туберкулиновые тесты, терапевт назначает инструментальные исследования. Большей информативностью отличается лучевая диагностика: рентген легких и КТ органов грудной клетки.
Рентгенолог обнаруживает очаги поражения, детально их описывает. На основании чего терапевт уже понимает, что за болезнь, насколько она поражает легкие. Направляет пациента к фтизиатру.
Лечение инфильтративного туберкулеза легких
Лечение ИТЛ может проводиться как амбулаторно, так и в условиях стационара. Если пациент не выделяет бактерии, относительно неплохо себя чувствует, поражение небольшое, фтизиатр назначает таблетки, отпускает домой. Только периодически приглашает на осмотр для контроля эффективности терапии.
Обратная ситуация – обширное поражение легких, бактериовыделение. Необходимость круглосуточного наблюдения медицинского персонала. Здесь уже о нахождении дома речи, естественно, не идет.
Химиотерапия.
Лечение начинается с назначения медикаментов. Сначала в фазу интенсивной терапии, затем в продолжении.
Когда туберкулез только выявлен, есть активная симптоматика, выделение бацилл, нужно активное воздействие. Фтизиатр рекомендует сразу 4-5, а то и больше медикаментов с разными способами их введения. Внутримышечно, внутривенно, парентерально. Далее, по мере разрешения инфильтратов, оставляет пациента на долечивание. Количество медикаментов, их доза сокращается.
Наша практика показала, что лечить инфильтративный туберкулез сложно. Причем чем больше микобактерии распространилась на легочную ткань, тем труднее перед врачом стоит задача. Придется учесть свойства самого паразита, общее состояние пациента, возраст, вес, сопутствующие болезни. Объединяют все возможные факторы, помогают выбрать оптимальную для каждого человека схему особые принципы антибиотикотерапии.
Первый и главный принцип: начинать терапию нужно как можно раньше. Практически сразу после подтверждения микобактерий. Второй – учитывать чувствительность микобактерий к разным препаратам. При этом лечить не одним лекарством, а несколькими, но с разным действием. Совместное назначение усиливает эффект друг друга. Терапия должна продолжаться не менее 6 месяцев. Еще один момент – оптимальная доза, соответственно возрасту и весу пациента. И, наконец, непрерывность. Пациенту важно объяснить тяжесть его состояния, последствия, дабы после исчезновения симптоматики он не перестал принимать препараты, а продолжил лечение.

Патогенетическая терапия.
Цель патогенетического воздействия заключается в том, чтобы повысить общие защитные силы организма для борьбы с инфекцией. Что позволяет быстрее разрешить инфильтраты в легких, снизить риск побочных эффектов назначаемых лекарственных средств.
В рамках данного направления врач рекомендует пациенту:
- глюкокортикоиды (цель их назначения заключается в предотвращении или уменьшении фиброзных изменений в легких);
- интерфероны, стимуляторы иммунитета для повышения иммунной реактивности;
- витаминотерапию;
- препараты для поддержания функции печени;
- соблюдение диеты (достаточное по калорийности, сбалансированное питание с повышенным содержанием белка);
- лечебную физкультуру (дыхательные упражнения, по возможности активные движения с прогулки на свежем воздухе);
- физиотерапию.
Коллапсотерапия.
Коллапсотерапия на сегодняшний день применяется нечасто, только в тех случаях, когда в течение нескольких месяцев химиотерапии врач не видит должного эффекта. Или даже болезнь, несмотря на воздействие, прогрессирует.
В рамках данного направления фтизиатры применяют:
- Наложение искусственного пневмоторакса. Врач нагнетает воздух в плевральную полость, легкое спадается. При этом лекарственное воздействие остается на том же уровне. Как результат, концентрация медикаментов в очаге поражения увеличивается. Болезнь скорее разрешается.
- Пневмоперитонеум. Цель аналогична, заключается она в поджатии легкого. Врач нагнетает воздух уже в брюшную полость, диафрагма поднимается. Дыхательный орган в объеме уменьшается.
Хирургическое лечение инфильтративного туберкулеза применяется только в случае осложнений заболевания. Тактика оперативного вмешательства в каждом конкретном случае определяется индивидуально.
Прогноз и профилактика
Прогноз относительно благоприятный. Специфическое поражение дыхательной системы поддается лечению, инфильтраты рассасываются с формированием на их месте фиброзной ткани. Полное разрешение состояния встречается крайне редко.
Профилактике болезни врачи уделяют особое внимание. Направления для предотвращения инфекции:
- Социальное. Заключается в общем улучшении жизни людей: питание, физическая активность, борьба с вредными привычками, экологическое благополучие населения;
- Санитарное. Суть этого вида профилактики заключается в своевременной изоляции больного человека, до окончания выделения микобактерий. Важно наблюдение и обследование контактов.
- Специфическое. Вакцинация от туберкулеза входит в национальный календарь профилактических прививок. Делается инъекция в первые дни жизни ребенка, затем еще дважды: в 7 и 14 лет.
Комплексная профилактика уменьшает риск распространения инфекции. Шанс заразиться именно инфильтративной формой сводится к минимуму.
Источники
- В.С. Коровкин, Г.Л. Гуревич, «Клиника и лечение инфильтративного туберкулеза легких и казеозной пневмонии».
- И.С. Гельберг, С.Б. Вольф, Е.Н. Алексо, «Фтизиатрия».
- Тухбатуллин М.Г., Валиев Р.Ш., Шамшурова Е.С., «Рентгено-ультразвуковая картина при инфильтративном туберкулезе легких».

Ответы на вопросы
Сколько лечится инфильтративный туберкулез легких?
Лечение болезни займет не меньше полугода, а в тяжелых случаях затягивается и вовсе на 12 месяцев. Пациент буквально постоянно принимает противотуберкулезные препараты, посещает фтизиатра. Врач периодически повторяет рентгенографию грудной клетки, контролирует эффективность терапии. Только после того, как подтверждается полное рассасывание инфильтратов, этиотропная терапия может быть прекращена.
Можно ли заразиться инфильтративной формой туберкулеза легких в транспорте?
В теории да, на практике сложно. Для заражения этой формой нужно сразу несколько условий. Первое заключается во вторичном инфицировании: инфильтраты образуются у пациентов, которые уже ранее болели туберкулезом. Второе – резкая ослабленность организма. Экзогенное заражение возможно только при выраженной иммуносупрессии. И третье, что определяет риск болезни – это длительность контакта в транспорте. Длительные перелеты по сравнению с поездкой в трамвае значимо увеличивают риск инфекции.
Можно ли умереть от инфильтративного туберкулеза?
Да, можно. Надо учесть, что инфильтраты в легких больше встречаются у ослабленных пациентов, с выраженными соматическими заболеваниями. Исходя из чего, риск осложнений болезни изначально очень высокий. У пациента развивается казеозная пневмония или микобактерии распространяются по органам и тканям. Долго жизненно важные структуры такой атаки не выдерживают. Заканчивается болезнь в таких условиях печально.
Можно ли восстановить функцию легких после рассасывания инфильтратов?
Участки легкого, где раньше были инфильтраты, впоследствии замещаются фиброзной тканью. Функциональности у нее нет и восстановить обратно в паренхиму не получится. То есть объем для газообмена уменьшается. Часть функции берут на себя соседние отделы. Врач назначает пациенту упражнения для тренировки органа дыхания. Качество жизни пациента критично не ухудшается.
Заболевания по направлению Терапевт
Популярные статьи

Лицензии

Мы осуществляем деятельность на основании медицинских лицензий в соответствии с рекомендациями Минздрава







































































